There’s no doubt that modern eyecare has embraced the rebirth of scleral lenses. Scleral GP contact lenses are the fastest growing segment of the GP market.1 Lens material manufacturers are providing large-diameter, high-Dk lens buttons. In addition, lens manufacturers are introducing designs to enhance fitting success and to improve patient outcomes. Online fitting tools are available for practitioners to modify lens designs, providing better control of the scleral lens vault over the cornea and limbus and for better lens alignment over the asymmetric sclera. New technology is available to more accurately measure scleral shape, allowing for a more accurate lens design and fit. The number of practitioners mastering scleral lens fitting skills continues to increase.
The use of scleral lenses to treat complex corneal diseases (i.e., irregular corneas and/or ocular surface disease) also continues to grow. More and more practitioners are realizing the benefits that these lenses can offer with regard to visual rehabilitation and ocular surface function restoration. These lenses offer great benefits that can translate into patient comfort; great best-corrected visual acuity (BCVA); ocular surface protection from the environment of the lids, desiccation, and/or chronic exposure; and even corneal remodeling. However, complications can also arise.
To be better equipped to manage complications that may arise secondary to—or during—scleral lens wear, it is critical to understand the disease etiology being treated and the underlying factors that can lead to these complications. For example, one complication that can arise that is often discussed but not necessarily well understood is corneal edema.
In this article, we will review and discuss the causes and treatment options for corneal edema in the setting of scleral lens wear.
CAUSES OF CORNEAL EDEMA
Clinical corneal edema can arise secondary to congenital, degenerative, traumatic, or inflammatory processes as well as to changes in intraocular pressure (IOP).2 At a pathophysiological level, it can be due to some malfunction in the endothelium, an increase in IOP, or a combination of both.2,3
In the context of scleral lens wear, several factors should also be ruled out when observing corneal edema during scleral lens wear: a) hypoxia, which, in turn, is affected by the oxygen permeability of the lens material; b) increase in IOP; c) functional condition of the endothelium; and d) the presence of negative pressure (suction) under a scleral lens.4
Hypoxia The corneal epithelium receives most of the oxygen required for normal metabolism from atmospheric oxygen that dissolves in the tear layer. Historically, contact lenses were first made with glass and then PMMA plastic, materials that are impermeable to oxygen. These early scleral lenses could be worn for just a few hours before oxygen deprivation problems developed. For instance, Sattler’s veil (a.k.a. Fick’s phenomenon) is a clouding of the corneal epithelium due to an insufficient supply of oxygen caused by the oxygen-impermeable contact lens creating a barrier to the acquisition of oxygen.5 With removal of these early scleral lenses, the corneal clouding quickly resolved.
In 1996, Chahine and Weissman reported that the use of low-Dk hydrogel contact lenses caused superficial limbal corneal vascularization, furrow staining, limbal epithelial hypertrophy, and conjunctival hyperemia.6 When silicone hydrogel contact lenses became available in 2002, changing from low-Dk hydrogel lenses to silicone hydrogel lenses resolved the occurrence of these problems in soft contact lens daily wear. Mild bulbar injection resolved, and both furrow staining and limbal epithelial hypertrophy disappeared. Resolution of these problems was attributed to the use of higher-oxygen-permeable soft lenses, with Dk values greater than 100. Until this report was published, these subtle corneal changes were either unnoticed or ignored by contact lens fitters, or practitioners did not recognize them as being abnormal.
Recently, there has been much discussion and articles written about clinical studies that address the role of oxygen tension and of post-lens tear layer thickness, polymer material Dk/t, effects on corneal metabolism, and how those correlate with hypoxia-related complications and corneal edema during scleral lens wear.7-13 There is a theoretical model stating that the post-lens tear layer thickness should be less than 150μm to avoid hypoxic effects on the cornea.13 However, most clinical studies report amounts of corneal edema that are within the range of physiological edema that occurs during sleep (4%), and, in most cases, this amount is less than 2%, despite post-lens tear layer thicknesses being greater than 250μm.7-11
One recent study showed that increasing post-lens tear layer thicknesses has minimal impact on the range of corneal edema observed with scleral lens wear. The measured amounts of corneal edema (1% to 1.5%) were also less compared to the physiological levels that occur overnight with lid closure during sleep (4%).7 This study looked at two variables and their effect or impact on corneal edema during lens wear: post-lens tear layer thickness and polymer Dk/l (Dk/t) values. Based on their findings, emphasis should be given to Dk/l values to prevent hypoxia-related complications, versus post-lens tear layer thickness values.7
Vincent et al also observed no clinically significant edema after eight hours of mini-scleral lens wear with a median central clearance of ~350μm.8 Their findings suggest that the amount of central clearance or post-lens tear layer thickness does not contribute significantly to corneal hypoxia—in the wearing schedule studied—in healthy subjects.
These recent findings also support previous clinical observations, showing that, despite resulting lens clearances of more than 150μm, scleral lenses provide ocular surface restorative functions, for example in the setting of healing persistent epithelial defects in compromised corneas,14,15 in corneal remodeling, neovascularization regression, clearing of corneal opacities (Figure 1),16-18 and in the management of dry eye patients.19 These recent studies highlighting the role of Dk/t value of the lens also seem to support Chahine and Weissman’s report on hypoxia-related complications with soft lenses.6
Increased IOP As practitioners expand their use of scleral lenses beyond visual rehabilitation for irregular corneas and use them to treat ocular surface disease, it is extremely important to realize and understand that hypoxia may not be the only cause for corneal edema during scleral lens wear.
Ytteborg and Dohlman reported in 1965 that corneal epithelial edema appears sooner and progresses more rapidly as the level of IOP increases.20,21 These findings were later supported by other studies in which the researchers found that endothelial cells are compromised by increased IOP and that a decrease in endothelial cell density and damage to the active pump system secondary to morphological damage are responsible for the resultant epithelial corneal edema.22,23
Could the endothelial function be compromised at baseline as part of the disease etiology (e.g., failing graft, pseudophakic bullous keratopathy [PBK], Fuchs’ dystrophy)? If there is a compromised endothelium and corneal edema is observed at baseline, it will only get worse during scleral lens wear; that patient may simply not be a good candidate for scleral lenses. Are there any concomitant diseases (e.g., glaucoma)? Is the patient taking topical steroids? Are steroids managed properly and risk for steroid response properly monitored? Could suction or negative pressure behind the scleral lens haptic play a role?
Therefore, whenever epithelial corneal edema is observed—aside from a careful evaluation of the lens fit (more on this below) to determine whether there is adequate alignment, no lens suction from a very tight lens or crowding at the limbal region, an adequate Dk/t in the lens system, and/or tear exchange—it is imperative to always check the IOP; all that may be needed is to properly manage and lower the IOP (Figure 2).
This is especially relevant if the patient also suffers from glaucoma or if the patient is currently taking topical steroids, because there might be a steroid response. Consider a scenario in which IOP increases and the practitioner fails to check it, instead solely focusing on hypoxia and lens troubleshooting. Not only will it take much longer for the practitioner to resolve the issue, but this will also result in poor patient management and the possibility of further complications.
Lens Suction Miller, Carroll, and Ridley were some of the first to report on the effects of scleral lens suction (cling) and the development of corneal epithelial edema.4,24 They defined cling, or suction, as the force necessary to pull a lens from the eye. They reported that when this force is created as a result of prolonged contact between the lens and the globe, it is further enhanced by factors such as swelling of the conjunctiva and the force exerted by the lids with blinking.4 When these forces are all operating, it seems that there’s enough force to further enhance the accumulation of fluid within the corneal epithelium. Even when these concepts were first introduced during the scleral lens PMMA era, there was an idea of a fluid-ventilated scleral lens (including the design of channels under the scleral lens haptic), not only to maximize tear exchange under the lens, but also to prevent/minimize lens suction.25 This phenomenon still occurs with GP lens materials.
In our clinic, we have witnessed numerous cases (Figures 3, 4, and 5) in which, after addressing a tight lens fit or significant crowding at the limbal area, either limbal edema or corneal edema resolves. Troubleshooting often includes increasing the lens diameter, ensuring adequate limbal clearance, and adding channels under the scleral lens haptic. Therefore, ruling out scleral lens suction should also be part of the troubleshooting strategy when noticing/observing corneal edema.
CLINICAL FINDINGS AND EVALUATION
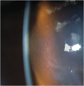
In general, techniques such as sclerotic scatter and retroillumination are great ways to detect epithelial corneal edema. In sclerotic scatter, if a white light beam of medium width is focused obliquely at the temporal limbus, the diffraction of light from the area of edema will appear as a slight corneal haze. The sensitivity of this technique is enhanced by studying the contrast of light scatter at the junction between the normal and edematous cornea against the background of the black pupil.25 With retroillumination, it is possible to see the presence of fine micro bullae or the presence of epithelial microcysts (Figure 6).
Another way to detect edema is by noting the presence of negative staining over the cornea when stained with sodium fluorescein (Figure 7). Decreased BCVA, steepening in corneal curvature, and increase in corneal thickness are other objective measures that can be used to corroborate and confirm the diagnosis.4
A timely and thorough slit lamp examination is important. With the scleral lens still in place, use a 1mm to 2mm band of white light to carefully examine the limbal area using direct and indirect retroillumination. Examine the limbal vascular arcade for areas of micro-pannus or fronds neovascularization (Figure 8).
Re-examine the limbus and peripheral cornea immediately upon removal of the scleral lens. Furrow staining and limbal epithelial hypertrophy are very difficult to see with white light. Instilling sodium fluorescein into the tear layer enhances surface irregularities. With low-to-medium slit lamp magnification, illuminate the area being observed with a broad band of cobalt blue light using moderate-to-high light intensity. Place a yellow barrier filter over the slit lamp objective lens to further enhance the differences in the fluorescein layer and to discover subtle areas of epithelial staining and pooling. Have the patient blink and then observe the tear layer dissipate from the surface. As the tear layer thins, pools of fluorescein highlight areas adjacent to swollen epithelium (Figure 9). If limbal microcysts are present, they also will be highlighted, and areas of positive and negative staining may be present (Figure 10).
Observe the overall corneal surface. It should be smooth and regular. Undulations in the surface and swollen areas of epithelium will create a mottled mosaic pattern in the fluorescein-enhanced tear layer. Oxygen deprivation effects are a cumulative problem. Examine the limbal areas covered by the upper and lower eyelids. Eyelid coverage decreases the available oxygen to these areas.
Patients may occasionally forget to remove lenses before bedtime and admit to napping while wearing their lenses. Corneal edema from closed-eye lens wear (Figure 11) is best observed as soon after awakening as possible. With exposure to atmospheric oxygen in open-eye conditions, the corneal edema will begin to resolve. If a compliant daily wear patient is being examined, schedule the patient at close to the end of the wearing time, or as late in the day as scheduling permits, so that the cumulative effect of oxygen deficit from daily wear for that patient can be observed. For patients who admit to sleeping in their lenses, schedule follow-up appointments as early in the day as scheduling permits.
The possibility of forgetting to remove the lenses before sleep is high. So, what happens when these lenses are worn overnight in the closed-eye condition? Patients may awaken to Sattler’s veil, corneal clouding, haloes around lights (Figure 12), and sensitivity to light. Interestingly, these symptoms and signs start to resolve immediately upon opening the eyes, as a percentage of atmospheric oxygen becomes available through the plastic of the scleral lens. If the patient is not scheduled to be seen when this problem occurs, the practitioner may never see it.
In general, as far as subjective measures go, patients, upon questioning, will report hazy and/or decreased vision with increased lens wear time and will report the presence of concentric rainbow rings around light sources reminiscent of Sattler’s veil (Figure 12). They may also report increased glare sensitivity.
CONCLUDING REMARKS
As practitioners, what can we do to minimize scleral lens complications secondary to corneal edema? Obviously, a proper fit is important. The lens design is important. The contact lens power, optic zone diameter, midperipheral lens design, base curve, and peripheral zone design all contribute to the oxygen transmission to the corneal surface.
While lens material manufacturers provide the lens power, diameter, base curve, and sometimes center thickness of the lens, they do not provide a thickness profile of the lens specifying the Dk/t at various points along that profile. To capture this information, practitioners can use a thickness gauge to measure the center thickness, the lens thickness at the edge of the optic zone, the midperipheral zone thickness, and the peripheral zone thickness; that information will help them better understand the oxygen transmission possibilities of the lens design being used. If oxygen deprivation problems arise, practitioners can work with the lens manufacturer to modify the lens design and/or to change the lens material. Thinner lenses made of higher-Dk lens materials than what are currently available may still be needed to achieve the oxygen transmission levels that current high-Dk silicone hydrogel soft lenses have achieved.
More studies, especially long-term studies, are needed to answer many questions related to this topic. For example, what’s the long-term impact, if any, of physiological edema levels with prolonged scleral lens wear? What’s the role of lens diameter (most clinical studies use mini-scleral lens designs) in corneal edema findings? Could other factors play a role (i.e., amount of tear exchange)? Does lens suction play a more significant role? If so, does lens diameter have a role in minimizing the amount of negative pressure (suction) under a scleral lens? Or is the negative pressure built under a scleral lens strictly related to tight-fitting lenses? Or could it be that perhaps a fine balance among all of the factors mentioned above is required?
Until we find the answers to these and other questions, continuing to be mindful of all of the variables that can lead to corneal edema in the context of scleral lens wear, while never forgetting to see the big picture in each case, will allow us to better manage and care for our patients. CLS
REFERENCES
- John Hibbs. Personal correspondence.
- Boruchoff SA. Clinical causes of corneal edema. Int Ophthalmol Clin. 1968 Fall;8:655-695.
- Dolhman CH. Corneal edema and vascularization. In King JH Jr., McTigue JW, eds. Cornea: World Congress. Presented at the First World Congress on the Cornea, Washington, DC. 1964 Oct. Butterworth, p.80.
- Miller D, Carroll JM. Corneal edema and scleral lenses. Int Ophthalmol Clin. 1968 Fall;8:623-635.
- Lambert SR. Klyce SD. The origins of Sattler’s Veil. Am J Ophthalmol. 1981 Jan;91:51-56.
- Chahine T, Weissman BA. Peripheral corneal furrow staining: A sign to discontinue hydrogel contact lens use? Int Cont Lens Clin. 1996 Nov-Dec;23:229-233.
- Kim YH, Tan B, Lin MC, Radke CJ. Central corneal edema with scleral lens wear. Curr Eye Res. 2018 Nov;43:1305.
- Vincent SJ, Alonso-Caneiro D, Collins MJ, et al. Hypoxic corneal changes following eight hours of scleral contact lens wear. Optom Vis Sci. 2016 Mar;93:293-299.
- Tan B, Zhou Y, Yuen TL, Lin K, Michaud L, Lin MC. Effects of scleral-lens tear clearance on corneal edema and post-lens tear dynamics: a pilot study. Optom Vis Sci. 2018 Jun;95:481-490.
- Vincent SJ, Alonso-Caneiro D, Collins MJ. Corneal changes following short-term miniscleral contact lens wear. Cont Lens Ant Eye. 2014 Dec;37:461-468.
- Frisani M, Beltramo I, Greco M. Changes in corneal thickness by miniscleral contact lenses. Cont Lens Ant Eye. 2015 Feb;38:e38-e39.
- Compañ V, Oliveira C, Aguilella-Arzo M, Mollá S, Peixoto-de-Matos SC, González-Méijome JM. Oxygen diffusion and edema with modern scleral rigid gas permeable contact lenses. Invest Ophthalmol Vis Sci. 2014 Sep;55:6421-6429.
- Michaud L, van der Worp E, Brazeau D, Warde R, Giasson CJ. Predicting estimates of oxygen transmissibility for scleral lenses. Cont Lens Ant Eye. 2012 Dec;35:266-271.
- Lim P, Ridges R, Jacobs DS, Rosenthal P. Treatment of persistent corneal epithelial defect with overnight wear of a prosthetic device for the ocular surface. Am J Ophthalmol. 2013 Dec;156:1095-1101.
- Rosenthal P, Cotter JM, Baum J. Treatment of persistent corneal epithelial defect with extended wear of a fluid-ventilated gas-permeable scleral contact lens. Am J Ophthalmol. 2000 Jul;130:33-41.
- Cressey A, Jacobs DS, Carrasquillo KG. Management of vascularized limbal keratitis with prosthetic replacement of the ocular surface system. Eye Contact Lens. 2012 Mar;38:137-140.
- Cressey A, Jacobs DS, Remington C, Carrasquillo KG. Improvement of chronic corneal opacity in ocular surface disease with prosthetic replacement of the ocular surface ecosystem (PROSE) treatment. Am J Ophthalmol Case Rep. 2018 Feb;10:108-113.
- Kwok A, Carrasquillo KG. What makes a scleral lens fit physiological? A case report. J Ophthalmol Clin Res. 2018 Mar;5:1-5.
- Sonsino J, Mathe DS. Central vault in dry eye patients successfully wearing scleral lens. Optom Vis Sci. 2013 Sep;90:e248-e251.
- Ytteborg J, Dohlman CH. Corneal edema and intraocular pressure. I. Animal experiments. Arch Ophthalmol. 1965 Sep;74:375-381.
- Ytteborg J, Dohlman CH. Corneal edema and intraocular pressure. II. Clinical Results. Arch Ophthalmol. 1965 Oct;74:477-484.
- Melamed S, Ben-Sira I, Ben-Shaul Y. Corneal endothelial changes under induced intraocular pressure elevation: a scanning and transmission electron microscopic study in rabbits. Brit J Ophthalmol. 1980 Mar;64:164-169.
- Urban B, Bakunowicz-Łazarczyk A, Michalczuk M, Krętowska M. Evaluation of corneal endothelium in adolescents with juvenile glaucoma. J Ophthalmol. 2015;2015:895428.
- Ridley F. Trans Ophthal Soc U.K. 1964;68:385.
- Rosenthal P. Corneal contact lenses and corneal edema. Int Ophthalmol Clin. 1968 Fall;8:611-621.


