Although nearly a decade has passed since the launch of modern day hybrid lenses, questions still arise regarding best practices for their care and handling. While manufacturer guidelines are provided in print or electronic support materials, this information may not roll off the tip of the tongue for eyecare practitioners in the trenches who periodically fit this lens modality. Here is what today’s hybrid lens fitters should know.
When to Consider the Use of Fluorescein
Older-generation hybrid lenses are manufactured with lower-Dk hydrogel skirts that not only can be prone to ocular surface adherence, they also all require high-molecularweight fluorescein to be instilled either onto the conjunctival surface or into the bowl of the lens to evaluate the fit without staining the soft skirt.
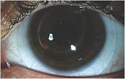
In the United States, more modern hybrid lenses designed for normal eyes do not need fluorescein to assess their fit (Figure 1). Conversely, hybrid lenses designed to vault over irregular corneas do require fluorescein to be dipped into the preservative-free saline that fills the bowl of the lens prior to lens application (Figure 2). For these cases, regular-weighted fluorescein will work without staining the soft skirt due to the silicone hydrogel materials used.
Cleaning and Storage
Hybrid lenses need to be cleaned daily, but there is no hybrid-lens-specific solution on the market. A cleaning and disinfecting chemical method approved for soft contact lenses, such as multipurpose solutions (MPSs) or hydrogen peroxide-based systems, can be used. Both care systems are also safe to use with hybrid lenses that have a polyethylene glycol-based surface coating, which is now available as an add-on feature.
It is imperative that any hybrid lens diagnostic sets in your office are regularly cleaned and disinfected while housed on your shelf between uses. An example regimen would be to thoroughly clean and disinfect them using a hydrogen peroxide-based system followed by long-term storage in fresh MPS, as the neutralized saline from the hydrogen peroxide system is essentially just water. Similarly, some patients have multiple lens vials at home depending on their replacement schedule. These lenses, once the manufacturer seal is opened, should be cleaned and disinfected as well on a regular basis and surely right before use.
Replacement Schedules
How often hybrid lenses are replaced will vary by practitioner and by patient. While the recommendation is for a six-month replacement schedule, some patients are heavy depositors and warrant more frequent replacement. Quarterly replacement is an adequate alternative for such patients. Replacement every two months or monthly, while healthier options, are very costly to patients. Diligent cleaning, disinfection, and storage processes can optimize the lifespan of a hybrid lens over a three-month span.
When in Doubt
The clinical pearls in this article are meant as a guide to aid in hybrid lens fitting. If there is ever a doubt, direct consultation with the manufacturer can quickly answer any outstanding questions. CLS


