New patients often present for an office visit and report that they were not a candidate for contact lenses because they have “stigma,” “stigmatism,” or some other funny way to refer to the common clinical finding of astigmatism. My response: “The contact lens industry has made it very easy today for you to successfully wear contact lenses, even daily disposables.”
During a recent examination of two new patients—who are sisters—I realized that I spoke too soon. Table 1 shows their pertinent clinical findings.
| CASE 1 (15 YEARS OLD) | CASE 2 (18 YEARS OLD) | |
|---|---|---|
| Spectacle Refraction | OD: –5.00 –1.00 x 170 OS: –5.00 –1.00 x 165 |
OD: –4.50 –1.50 x 175 OS: –4.75 –1.50 x 004 |
| Flat K/Steep K (D) | OD: 44.16/45.85 @ 076 OS: 44.44/46.00 @ 074 |
OD: 44.85/46.64 @ 092 OS: 45.28/46.62 @ 080 |
| Visible Iris Diameter (mm) | OD: 12.43 OS: 12.47 |
OD: 11.97 OS: 11.94 |
A Win for the Contact Lens Industry
Today, there are various brands of daily disposable (DD) contact lenses that offer correction of astigmatism up to –2.75D of refractive cylinder. Some have limited axis options while others offer axes around the clock, typically in 10º steps. Even patients who have as low as –0.75D of cylinder appreciate the sharpness in vision when wearing toric lenses as compared to a spherical option. We have the widest parameter availability to date in this fitting category.
Room for Industry Innovation
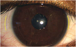
Almost all toric DDs have a lens diameter in the 14.0mm to 14.5mm range and a listed base curve of 8.5mm or 8.6mm and are manufactured with the average eye shape and size in mind. These single base curve and diameter offerings mean that not all potential DD contact lens wearers can be successfully fit. For patients who have a larger-than-average eye size (Figure 1), practitioners are limited by sagittal heights of lenses that are too shallow, resulting in lens decentration (Figure 2) (video available below), discomfort with lenses on eye, and ultimately, dropout from contact lens wear.
Largest diameter (14.5mm) daily disposable soft toric in-office trial lens on eye. Patient reports discomfort due to lens awareness with each blink.
Is There a Market?
Even if there was, a year’s supply of customized lathe-cut DD lenses would likely cost a small fortune. Practitioners educate patients on how DDs are the healthiest lens replacement schedule, with statistics showing that they are steadily growing in popularity (Nichols and Starcher, 2020). It is unfortunate when we find ourselves out of DD toric options due to an inadequate fit for patients who desire lenses on a part-time basis.
While these sisters are candidates for more customized lens options that better fit their eyes and can also manage their myopia, their cases remind us that current commercial toric DD lenses have limitations. CLS
For references, please visit www.clspectrum.com/references and click on document #293.


