Resolving Scleral Lens Inferior Decentration
This patient has severe keratoconus OD and recently underwent a corneal transplant OS. Our goal was to provide her with the best lens fitting possible in the right eye to guarantee good visual acuity and comfort and also to maintain corneal physiological health.
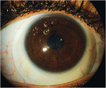
We first attempted a 17.5mm diameter scleral lens, which dropped significantly (Figure 1). It also induced debris in the liquid lens reservoir that formed within the first few minutes when the lens was still slightly loose.
The second trial lens was a 16.5mm scleral lens, which again decentered inferiorly; it decentered less than the 17.5mm lens did and it did not cause debris to enter the tear reservoir, but it was still in a low position, with a vault that was too thin at the top and too thick from the center to the bottom area of the lens.
With fluorescein, we also observed superior touch at the limbus and areas in which the haptic was loose (Figures 3 and 4). The loose and the tight areas were also evident in optical coherence tomography (OCT) images. Despite this, the patient did not complain of discomfort.
We were in doubt as to which direction to go. Our first idea was to design a customized 16.5mm scleral lens with a lower superior angle at the transition and haptic zones and a lower inferior and temporal haptic to better position the lens and to improve alignment to the cornea. The other option was to recalculate the lens in a smaller diameter but keep the sagittal depth (sag) value close to the 16.5mm scleral lens at the center.
We decided to plan the scleral lens with a 15.7mm diameter and the same sag value as the 16.5mm lens, but we also added the noted changes to the haptic in different zones.
Management of the Case
In cases such as this, we perform detailed anterior OCT in a series of eight positions, sometimes with two images of the transition over the limbus and the haptic through the lens edge, resulting in 16 OCT images. By combining careful slit lamp examination, anterior eye assessment, and the OCT images, we can better determine the areas in which we need to modify the haptic and limbal zone at each position. We first plan the lens with all of the information on two large screens. We define the modifications needed in terms of size, shape, and level of changes at the specific areas. From this, we send the order to the lab along with a drawing with the changes necessary. We also make a dot on the lens at the 12 o’clock position to help patients apply the lens correctly. The dot may not position at 12 o’clock upon application, but this is fine as long as the dot is near to top of the lens. It will likely rotate to the correct position on its own during wear.
The 15.7mm scleral lens worked very well, especially with the modifications; the sag was ideal, and there was no touch at the limbus despite the really short landing zone due to a small haptic. This lens also centered better (Figure 5) compared to the 17.5mm and 16.5mm lenses.
The modifications made to the different angles over the sclera also helped to avoid excessive pressure or loose areas.
To maintain the desired vault over the cornea, we changed the base curve and secondary base curve to obtain the best possible alignment (Figure 6).
The anterior cornea OCT images were of great help to better estimate the necessary changes to the scleral lens designs (Figures 7 through 10). We started using this method a few years ago, but we use it only when necessary. Most of our scleral lens fits do not require OCT, as the scleral lens design that we typically fit has a slightly flatter haptic alignment horizontally compared to the vertical haptic.
The power needs of this patient are high; therefore, with any overall diameter, the lens tends to get really thick at the periphery. We used an anterior profile with a minus flange to minimize the intermediate thickness and a low plus flange at the edge. Figure 11 shows the anterior central curve and the plus and minus flange to decrease thickness and reduce the lens mass.
It was particularly important in this case to avoid excessive lens mass. The weight of the lens, despite the smaller overall diameter, could cause the lens to decenter inferiorly and also exert force at the inferior conjunctiva of the sclera. We had to manufacture two lenses to find the best combination. The final lens had the following parameters:
Base curve: 48.00D (7.03mm)
Power: –17.50D
Overall diameter: 15.6mm
Optic zone diameter (center): 8.0mm
Optic zone diameter (secondary) 11.5mm
Sag: 4.882
Discussion
In a case like this, we have the option to adjust the haptics to match the different elevations or angles of the sclera or to use a smaller diameter. In this case, we found that doing both resulted in the best fit.
In general, we use a diameter below 17.5mm only when the palpebral fissure of the patient is too small. But in this case, a smaller diameter in conjunction with the quadrant-specific modifications was a successful direction to go. It allowed us to obtain a great fit; the patient is happy with the comfort, and visual acuity is 20/25.
Conclusion
The resources that we have available in our clinic have proven to be effective in more than 99% of the cases. However, I personally find that the new technologies of scleral mapping and impression molds are a great way to overcome those rare, extremely difficult abnormal sclera patterns that we sometimes face.
References
- Barnett M, Fadel D. Scleral Lenses: Benefits of Toric Landing Zones. Contact Lens Spectrum. 2017 Nov;32:36-41.
- Schoartz B. Scleral Lens Descentration Due to Inferior Depression. Available at https://www.visionary-optics.com/case-report/scleral-lens-decentration-due-to-inferior-depression/ . Accessed Feb. 29, 2020.
- Barnett M. Scleral Lenses: From the Renaissance to the 21st Century. Collaborative Eye. Available at https://collaborativeeye.com/articles/best-of-aoc/scleral-lenses-from-the-renaissance-to-the-21st-century/ . Accessed Feb. 29, 2020.


