GKC REPORT
Keratoconus: What Do We Know?
A closer examination of key findings from the inaugural Global Keratoconus Congress.
By Eef van der Worp, BSc, FAAO, FIACLE
![]() Eef van der Worp is a researcher at the University of Maastricht in the Netherlands – department of Ophthalmology. He has been involved in contact lens education at the Hogeschool Utrecht for more than 10 years and is lecturing worldwide on contact lensrelated topics. |
We can detect keratoconus earlier and better today than ever before, particularly because of the availability and use of corneal topography. Hundreds of articles have published about keratoconus, and it remains one of the most popular topics at both clinical and scientific conferences around the world. But, treatment options for keratoconus are still not universal, with different approaches and methods being used and developed in various parts of the world.
Earlier this year, world experts in this field came together in Las Vegas for the first time to analyze and discuss keratoconus and its treatment options at the Global Keratoconus Congress (GKC). This article will describe some of the information highlights presented at this meeting.
A large portion of the GKC was devoted to contact lenses, in particular to GP lenses, because their fitting characteristics provide excellent vision for irregular corneas. We can fit most keratoconus patients with GP lenses, whether with small corneal lenses, larger intra-corneal designs or with scleral or semi-scleral applications, which have been gaining in popularity. Even after corneal transplantation, GP lenses are often required to restore vision to its maximum correction. It was emphasized at the conference that the majority of patients who have keratoconus will use GP lenses to restore vision, one way or the other.
I'll discuss this and other correction methods, but let's first focus on how to best detect the condition.
Detecting Keratoconus
For the more developed stages of keratoconus, textbook signs and symptoms such as the classic slit lamp findings of Vogt's striae and Fleischer's ring are suitable to detect and diagnose the condition.
But these techniques may not be as accurate in the early stages of the condition. Evaluating the quality of the keratometry mires can be helpful, keeping in mind that a keratometer measures only the central 3mm, or approximately 8 percent, of the total corneal surface. Also, this method can't quantify the magnitude of the distortion that may be visible. Detection of the condition in its early stages has become more important recently because of refractive surgery co-management and orthokeratology fitting.
Corneal topography has revolutionized the detection of keratoconus and was addressed in detail at the GKC. Tim McMahon, OD, FAAO, presented data from the Collaborative Longitudinal Evaluation of Keratoconus (CLEK) study, whose researchers developed a special tool to create a new index to help analyze and categorize keratoconus. They introduced The Cone Location and Magnitude Index (CLMI) based on tangential maps to document the exact location of the apex of the cornea. Based on the analysis of 838 corneas, they found that in 87.8 percent of cases the apex was located beneath the horizontal central line on the cornea and that in only 10 percent to 12 percent of cases was the apex above that line. They observed a nipple cone (3mm in diameter, Figure 1) in 28.7 percent of cases, an oval cone (3.0mm to 5.5mm) in 44.3 percent of cases and a globus cone (5.0mm and larger) in 6.7 percent of cases. They defined a new type of cone as a marginal cone shape, which Dr. McMahon described as located at 270 degrees around the marginal limbus and prevalent in 5.6 percent of cases. The remaining 11 percent of cones remained undefinable.

Figure 1. A keratoconic eye with a nipple cone. Photo courtesy of R. Visser, Visser Contact Lens Practice.
It's important to look for symmetry within a topography map to exclude keratoconus. Of particular importance is the difference within the vertical meridian, indicating that a cornea is potentially irregular, either existing or acquired. Corneas with a difference of 1.4D to 1.9D within one meridian are moderately irregular and suspect for keratoconus while corneas with more than 1.9D of asymmetry in one meridian are considered irregular and highly suspect for keratoconus.
Because it's not always obvious whether asymmetry of the corneal surface is clinically significant, corneal topographers provide indices that can help in analyzing the corneal surface. The most commonly used index for detecting irregularity and keratoconus is the I-S value (the Inferior-Superior value). It typically compares five points of the superior half of the cornea with five points of the inferior half. Some topographers use the Surface Asymmetry Index (SAI) value that looks at the difference between opposite semi-meridians, which is another way of comparing one part of the cornea with the opposite site. The modified Rabinowitz/McDonnell test that some topographers use performs essentially the same (it uses the I-S value), but it adds the difference in corneal power between the right and the left eye. With keratoconus, one eye is usually more progressed than the other, and a difference of more than 1.00D between the two corneas also indicates a risk factor for the condition.
To detect irregular corneas it's also of interest to analyze the angle within one of the principal astigmatism axes, which are usually fairly straight. If the angle within the astigmatism axis has a large deviation from straight, then the chance of keratoconus increases. The SRAX index considers a cornea irregular and keratoconus suspect if the astigmatism axis angle is more than 21 degrees diverged from straight, then combines this with the I-S value to provide a prediction for the risk of keratoconus. KISA is another index based on the astigmatism angle together with the I-S value, but it also takes the absolute keratometry values into account (typically steeper curves occur in patients who have keratoconus than in those who have normal corneas).
Etiology
A large session at the GKC meeting focused on the etiology of keratoconus, including both oxidative stress to the cornea and genetics. M. Cristina Kenney, MD, PhD, of the University of California at Irvine, explained that oxidative stress to the cornea exists if the ratio between the reactive oxygen species (ROS) and reactive nitrogen species (RNS) is out of balance. In this case, degenerative enzymes can be released that may result in excessive inflammatory events causing stromal thinning and stromal haze. In keratoconus, the ROS/RNS values are higher than in normal corneas and can be exaggerated by exposure to ultraviolet B (UVB), chemicals and mechanical stress such as that caused by a poorly fitted contact lens. Patients need to avoid eye rubbing if the oxidative stress factor proves to be valid, and treatment of allergies and atopic conditions seem advised. Non-steroidal anti-inflammatory drugs are suggested. Antioxidative therapy, like those currently used in retinal treatments, could be a possible future option.
The other pathway for the etiology of keratoconus addressed at the meeting focused on genetics. A family history of keratoconus is generally accepted as a risk factor for the disease, but a clear scientific correlation is difficult to prove. Apart from trisomy 21, which indicates a 50-times higher chance of keratoconus, nine other genes may have an involvement in the development of keratoconus. Yaron Rabinowitz, MD, of the Cedars-Sinai Medical Center in Los Angeles demonstrated that genetic factors play a major role in the development of keratoconus. He and his group were the first to describe a molecular defect in keratoconus — an absence of transcripts for the water transport protein Aquaporin 5 (AQP5), which is related to wound healing and is suppressed in keratoconus patients. This represents the potential for development of a molecular genetic test to detect keratoconus in its early stages.

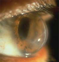
Figure 2. Keratoconus with corneal scarring. Source: Bausch & Lomb Image Library at www.bausch.com.
Surgical Options
Analysis of correction options, including surgical options, was one of the main goals at the GKC. A surgical technique that has received much attention lately is the use of Intacs (Addition Technology, Inc.) for keratoconus. It's indicated to place the two PMMA semi-hemispheres into the stroma of an inferior ectasia for a cornea showing keratometry readings flatter than 50D. Different investigators reported significant improvement in visual acuity with this reversible procedure.
Deep lamellar keratoplasty, in which 90 percent of the stroma is removed and replaced by donor tissue, leaving the endothelium intact, seems to be gaining popularity as opposed to a full keratoplasty for which more risk is involved, often with reduced visual outcomes. Disparate thickness lamellar keratoplasty, in which a surgeon implants a donor cornea of 400 microns thick in thinned keratoconic eyes (200 microns thick, for example), was presented as another viable surgical option. Intralamellar keratoplasty, in which a surgeon creates a microkeratome gap that is filled with a donor stromal button, is another relatively new technique that could prove to be a successful procedure as well. Six months after treatment with the technique, LASIK or PRK treatment might follow to correct any residual refractive error.
Dr. Eberhard Spoerl, MD, PhD, of the University Hospital in Dresden, Germany, presented the newest, and still experimental, technique. He spoke about the biomechanical effect of combined Riboflavin-Ultraviolet A (UVA) treatment for keratoconus. In keratoconus, the same number of collagen fibrils is present compared to normal corneas, but the stability is reduced because of missing crosslinks between the fibrils. The surgeon removes corneal epithelium over a 9mm diameter and adds Riboflavin 0.1% (vitamin B2) to the stroma to create full absorption and to avoid ultraviolet (UV) damage to the deeper compounds as much as possible. Following this, the cornea is exposed to 30 minutes of UVA radiation, which increases the thickness of the fibrils and results in a more rigid anterior 250-micron portion of the cornea. This technique is currently used to reduce the progression of keratoconus and kerectasia after LASIK. Critics warn about the possible photochemical effects to the deeper parts of the eye, including the retina.
GP Lenses
Practitioners from New Zealand, Australia, Canada, Denmark and different parts of the United States extensively discussed GP lens options for keratoconus. In this regard, results from the Collaborative Longitudinal Evaluation of Keratoconus (CLEK) study addressing scar formation (Figure 2) in GP lens wearers were presented by Joe Barr, OD, MS, FAAO, Co-Principal Investigator of the CLEK study. Scar formation may lead to a loss in contrast sensitivity, which may create a vision problem especially because keratoconus patients already show an increase in higher-order aberrations, especially coma, that may result in reduced contrast sensitivity.
This study observed 1,209 keratoconus patients for a period of eight years at 18 different sites. The five-year incidence of corneal scarring in the CLEK study was 13.7 percent (120 of 878) overall, 16.7 percent (102 of 609) for contact lens-wearing eyes and 38.0 percent (46 of 121) for lens-wearing eyes with corneal curvature greater than 52D. Baseline factors predictive of incident scarring included corneal curvature greater than 52D, contact lens wear, marked corneal staining and patient age of less than 20 years. These data seem to suggest that flat lens fits might be associated with scar formation in keratoconus and that the risk of corneal scars increases with poorly fitting GP lenses. But the final answer remains undecided, and further research is underway to investigate this. Nevertheless, avoiding pressure on the apex of the cornea with contact lenses seems advisable.
Timothy Edrington, OD, MS, FAAO, explained that researchers in the CLEK study fit five lenses to each cornea: three lenses flatter than the flattest keratometry values and two lenses steeper than the flat-test keratometry values. They were looking for what they called the first definite apical clearance lens (FDACL), or the first lens that showed minimal clearance and lacked touch on the apex. Fitting such a lens can theoretically reduce scar formation and also might reduce mechanical stress on the cornea.
To take this one step further, skilled practitioners from Switzerland (Michael Wyss, dipl. Augenoptiker, FAAO) and Germany (Frank Widmer, dipl. Augenoptiker) reported clinical findings analyzing how the amount of corneal flattening (e-value) in patients who have keratoconus can be beneficial in creating an optimal lens fit. Typically, the e-values in keratoconic eyes are high to extremely high — greater than 0.7 compared to the average e-value of the normal cornea, which is about 0.43. GP lenses fit to this measurement can help create a better lens-to-cornea profile and aid in creating apical clearance at the apex. Because the apex in keratoconus is often displaced, it was suggested to choose lenses with different e-values in various lens quadrants. Several years of experience with this fitting method using quadrant specific lenses shows a high success rate and very satisfied patients.

Figure 3. A scleral lens bridging over a keratoconic cornea. Photo courtesy of Visser Contact Lens Practice.
Presenters discussed large diameter lenses for keratoconus throughout the meeting. Rob Breece, OD, offered a definition for this category, describing mini-scleral lenses as those roughly 10.5mm to 14.0mm in diameter, semi-sclerals as 12.0mm to 16.0mm lenses (there is an overlap between these) and scleral lenses as 16.0mm to 25.0mm in diameter. All of these designs have the ability to promote good apical clearance (Figure 3), which can help reduce mechanical stress to the cornea. Experts from around the world, including Perry Rosenthal, MD, from the United States, Ken Pullum, FCOptom, DipCLP, from the United Kingdom and Henny Otten, BOptom, FAAO, from the Netherlands discussed the many possibilities for this lens modality that can postpone or even prevent surgical intervention.
The results from a study on toric scleral lenses that were developed at a large specialty clinic in the Netherlands were presented. The researchers observed that the sclera is more often than not astigmatic, and a toric scleral lens (Figure 4) not only improves the fit but also increases lens stabilization. Even if they manually dislocate this type of lens 60 degrees, within six seconds it returns to its baseline position. They also reported an increase in lens wearing comfort. Because these lenses can be manufactured with a front toric cylinder, which is often required in keratoconus, they may improve vision in many cases as well.
Soft and Hybrid Contact Lenses
Mark André, FAAO, emphasized that we shouldn't overlook soft lenses as a suitable correction for keratoconus. Thicker and custom-made soft lenses can be manufactured to fit most mild to moderate corneal irregularities. The soft lens materials typically used for this purpose have low Dk/t values, but using silicone hydrogel materials will resolve this in the future. In more advanced cases of keratoconus, vision is usually the limiting factor when using soft lenses.
Piggyback lens systems, in which a GP lens is fitted over a soft lens, still remain a viable option to improve vision while offering a high level of comfort. Because of their higher Dk/t values, practitioners are using silicone hydrogels more often as the soft lens of choice for piggyback fitting. It will be interesting to see whether piggyback systems will still be indicated for keratoconus in the future, mainly because of renewed interest in hybrid lenses.
The newest hybrid lenses from SynergEyes, Inc. consist of a soft HEMA material (27 percent water content, non-ionic, FDA group 1) with a total diameter of 14.5mm and a rigid 8.4mm central portion that has a Dk value of 100. Patrick Caroline, FAAO, explained that SynergEyes offers a lens design for flat corneas and a special prolate back-surface design for keratoconic corneas. The goal when fitting these lenses is to achieve slight central clearance with a minimal touch around the limbus.
Wavefront-corrected soft lenses could theoretically provide an improved visual outcome compared to standard soft lenses. I presented a free paper on a study by a group of researchers from France, Spain and the Netherlands which showed that correcting all higher-order aberrations with custom-made soft lenses could theoretically improve visual acuity several times. However, as soon as such a lens moves or rotates, the effect starts to deteriorate and may at some point work to the contrary. The researchers found that the 'break-even-point' was approximately 0.5mm of movement and 10 degrees of rotation. The study concluded that these limits are clinically challenging, and also that movement is a more critical variable than rotation. It appears that hybrid and scleral lenses could potentially be good options for wavefront aberration correction in keratoconus because of the limited movement and rotation that occurs with these lens types.

Figure 4. A toric scleral lens design by Visser Contact Lens Practice / Procornea (Eerbeek, The Netherlands).
Stay Tuned
Although the first GKC showed that we know much more about keratoconus than ever before, it's often still difficult to manage the condition satisfactorily. Keratoconus is a truly global condition. When experts from around the world including researchers, educators and clinicians come together to share and discuss their experiences, we gain the best chance of understanding the challenges and achieving the most optimal outcomes. This is the goal of the second GKC meeting, which will take place Jan. 25 to 27, 2008 in Las Vegas. Details about the 2008 program are available at GKCongress.com. If you have an interest in keratoconus, this is the one meeting next year that you don't want to miss. CLS