Online Photo Diagnosis
By Gregory W. DeNaeyer, OD, FAAO
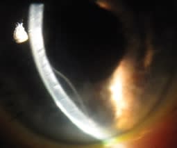
This picture shows a 79-year-old male who had a peripheral detachment of Descemet's membrane in his right eye. The patient had previous cataract surgery and a one-day post-operative wound repair of his affected eye four months before his referral. The patient's visual acuity OD was count fingers and he had severe corneal swelling.
 
    Descemet's detachment is a separation of Descemet's membrane from the posterior stroma following a traumatic event. If the separation is peripheral and without much edema, then no action is necessary except for frequent follow-up visits. However, a larger detachment that leads to significant swelling needs to be repaired for the patient to regain visual function. Interestingly, the detached endothelium will remain functional, so this does not have to be an emergency surgery. Reattachment is accomplished by injecting air into the anterior chamber, which will push Descemet's membrane back into position.
This patient's detachment was successfully reattached and his vision improved to 20/150 four weeks post-op.
Reference
Kaufman, H. Barron, B. McDonald, M. The Cornea, 2nd Ed. Butterworth-Heinemann 1998.
 
  
            

