LENS FITTING TECHNOLOGY
Optimizing Technology in Contact Lens Fitting
Make the most of the latest diagnostic and fitting tools for successful outcomes.
By Dianne Anderson, OD, FAAO
![]() |
Dr. Anderson maintains a specialty contact lens and anterior segment disease practice within two ophthalmology groups in suburban Chicago. Her major area of interest lies in keratoconus and post-surgical contact lens fits such as corneal transplants. |
Contact lens clinicians have an abundance of lens designs and materials from which to choose, as well as advanced diagnostic and fitting technologies to address numerous visual and anatomic conditions. When we use the right balance of diagnostic instruments, such as the autorefractor, autokeratometer, corneal topographer, and anterior segment optical coherence tomographer (AS-OCT), as well as contact lens-designing software, the information we gain helps us identify corneal distortions and irregularities and guides us through the contact lens fitting process.
In this article, I discuss how these technologies can help us choose the optimal contact lens designs for our patients and troubleshoot lens fits more productively, resulting in successful outcomes and happy patients.
Sagittal Height Measurement
Excessive horizontal or vertical lens movement can be an ongoing source of discomfort as well as blurred or fluctuating vision. In fact, rotational instability is an issue with both soft and GP lenses on toric corneas. By addressing base curve radius and lens diameter, you can reduce excessive lens movement and rotation.
When selecting a base curve radius for a contact lens, using keratometry readings or topography measurements alone without considering corneal diameter can be misleading. Corneal diameter is the key to matching the sagittal height of a lens to the anterior portion of the eye (Davis and Eiden, 2010). Fortunately, most corneas measure between 11.60mm and 12.00mm in diameter, and contact lens manufacturers have based their fitting nomograms on this constant (Davis and Eiden, 2010). For corneas outside of this range, you must adjust the base curve radius to account for the influence of corneal size on overall sagittal height (Figure 1).

Figure 1. This diagram shows the sagittal height of the cornea and contact lens at a given chord diameter.
You can accurately measure horizontal visible iris diameter (HVID) with corneal topography or obtain direct corneal diameter measurements using an AS-OCT, a Pentacam (Oculus), or other similar anterior segment imaging systems (Davis and Eiden, 2010). As an example, a cornea that has an HVID of 12.5mm and a flat keratometry value of 42.00D has a greater sagittal height compared to a cornea that has an HVID of 11.5mm and a flat K of 42.00D. Therefore, you will need a steeper base curve radius to fit the greater sagittal height of the 12.5mm cornea and a flatter base curve radius to fit the lesser sagittal height of the 11.5mm cornea (Davis and Eiden, 2010). A cornea that has an HVID of 11.5mm and a flat K of 46.00D may be physiologically compromised by edge seal-off if you fit a large-diameter and/or steep soft toric contact lens.
Many topographers also allow you to measure the corneal sagittal height at a specified chord length (Herzberg et al, 2011). This is helpful when fitting specialty GP contact lenses that have known chord lengths (Figure 2).

Figure 2. Atlas 9000 Trend Analysis evaluates the corneal sagittal height at a specified chord length; 1,185 microns at an 8.0mm chord.
Lens-Designing Software
Fitting and modifying GP contact lenses is as much an art as it is a science. For that reason, you must understand lens dynamics and fluorescein staining patterns.
Many corneal topographers offer contact lens software that enables you to design a virtual lens on the eye, including custom spherical, aspheric, and toric GP lenses (Sindt et al, 2011). These programs produce a simulated fluorescein pattern, illustrating how the lens fit varies as you steepen or flatten the base curve or change the lens diameter on a particular cornea. Similar to the corneal topography elevation map, the software predicts the GP fit with the best-fit sphere, showing the simulated fluorescein pattern of a spherical lens on a toric cornea. In eyes that have significant limbal-to-limbal astigmatism, a spherical lens produces an unacceptable fluorescein pattern, i.e., excessive pooling at 12 o’clock and 6 o’clock and bearing at 3 o’clock and 9 o’clock. A bitoric GP lens reduces excessive edge lift and peripheral bearing and provides a more stable fit. With contact lens-designing software, you can view and manipulate the simulated fluorescein pattern to further customize the GP lens design (Figure 3).
Proprietary software is also available for specialty aspheric and reverse geometry GP designs, allowing you to modify base curves and edges. Remember, however, that these contact lens-designing programs are virtual and cannot predict complications that may arise from lid interaction or tear film instability (Sindt et al, 2011).
Pathology-Detecting Software
If you suspect that a patient has irregular astigmatism, you should perform a comprehensive corneal topography mapping prior to lens fitting. The axial color maps will illustrate whether a patient has with-therule or against-the-rule astigmatism, keratoconus or pellucid marginal degeneration (PMD), or if he has undergone laser vision correction (LVC).

Figure 3. The simulated fluorescein map of the contact lens-designing software resembles the topographic elevation map’s best-fit sphere, showing 32μm of central tear film clearance and 10μm to 20μm of peripheral tear film clearance.
Pathology-detecting software programs analyze specific corneal indices to confirm a diagnosis, and they enable you to illustrate and explain the condition and the preferred lens options to your patient at the initial visit. An example is the Atlas 9000 PathFinder II corneal analysis software program (Carl Zeiss Meditec). The PathFinder II incorporates a Support Vector Machine (SVM) algorithm, which researchers have implemented in numerous applications including image analysis and decryption (Bagherinia et al, 2008; Noble, 2006). The PathFinder II SVM algorithm evaluates 12 corneal parameters, such as shape factor (asphericity of the cornea from the center to the periphery), against PathFinder II’s clinical database to calculate the probability that the topography falls into the following five categories (it will report up to two category matches):
- Normal No corneal pathologies; no history of refractive or other corneal surgery.
- Suspect Keratoconus Forme fruste or subclinical keratoconus, long-standing keratoconus (previously diagnosed), and PMD.
- Myopic LVC Corneas that have undergone LVC to treat myopia such as LASIK, photorefractive keratectomy (PRK), radial keratotomy (RK), or laser epithelial keratomileusis (LASEK) (Figure 4).
- Hyperopic LVC Corneas that have undergone LVC to correct hyperopia such as LASIK, PRK, or LASEK.
- Other Pathologies These include corneal scars, degenerations, and surgeries that affect the anterior corneal surface such as penetrating keratoplasty (PK) and LASIK.
The keratoconus program of the Pentacam analyzes corneal thickness/pachymetry to classify pathology based on mean corneal thickness values to the thinnest location.

Figure 4. PathFinder II Corneal Analysis of a myopic LASIK cornea with an oblate profile and negative shape factor; −0.31 OD and −0.33 OS.
Anterior Segment Imaging for Sclerals and Hybrids
The latest instrument for imaging the cornea and other anterior segment structures is the AS-OCT, which provides a three-dimensional view of the anterior and posterior cornea, the anterior iris, and the crystalline lens (Yeung and Chang, 2011). An AS-OCT displays an image of a 16mm area of the cornea and the sclera (Sorbara et al, 2010). Its sensitivity is such that you can easily discern the level of the cornea involved in dystrophies, degenerations, and infections (Vajzovic et al, 2011). This is valuable information for anterior segment/cornea surgeons as well as for practitioners who fit large-diameter GP contact lenses.
AS-OCT and Scheimpflug applications measure true elevation out to 16mm as a starting point for base curve selection of scleral and hybrid contact lenses fitted from a vault system. Manual measurement of corneal height and sagittal depth at any drawn chord helps to determine the optimum vault in microns of scleral and hybrid lenses. These lenses have become a popular treatment option not only for diseased corneas, but also for irregular astigmatism and high refractive errors.
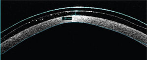
Although the large tear reservoir is thought to bathe and protect the cornea, little is known about the physiological aspects of a scleral lens fit. Michaud et al (2012) suggested a theoretical model to refine scleral lens fitting with regard to the impact on corneal physiology. Their calculations for maximum central lens and post-lens tear thicknesses ranged from 250μm to 495μm and 100μm to 250μm, respectively (Figure 5). To minimize hypoxia-induced corneal swelling, they recommended that scleral lenses be made with the highest-Dk material available (>150) and a maximum central thickness of 250μm, and that they be fitted with a clearance not to exceed 200μm. Although lens thickness cannot be easily manipulated, material choice and fitting relationships can be altered to meet these criteria if hypoxia is a concern.

Figure 5. Manual AS-OCT measurement of post-lens tear film thickness shows 260μm (0.26mm) of clearance.
Sonsino and Mathe (2013) recently reported that central vault and post-lens tear thicknesses were widely variable in patients who have dry eyes and were successfully wearing scleral lenses. They concluded that central vault was not a reliable indicator for lenswearing success in these patients.
An AS-OCT is capable of measuring out to the limbus; images of scleral and hybrid lenses on the cornea may be used to troubleshoot poorly fitting lenses, both centrally and peripherally. If the peripheral fit is not correct, the lens will be too uncomfortable to wear. A tight periphery will cause blanching of the scleral vessels with subsequent redness and irritation. Modifications can be made to achieve the proper lens-to-cornea relationship in the midperiphery and edge to maintain comfort and optimum corneal health with these designs.
Multifocal Designs
The technology behind today’s GP lenses makes them comfortable and easy to fit, and with many new and improved GP and hybrid multifocal designs available, contact lenses can be a great option for baby boomers. Understanding and incorporating the latest technology in multifocal designs will position you for success with presbyopes. Regardless of your level of knowledge and competence, however, you must educate these patients on the benefits and limitations of multifocal lenses. You and your patients must be aware of factors that can affect success such as very small or very large pupils, residual astigmatism, and difficulty with depth perception prior to fitting.
Generally, smaller near zones are used on the dominant eye and larger near zones on the nondominant eye. Corneal topography is a good tool to use to measure pupil size and contour. Topography performed over a GP multifocal lens will show where the near optics are positioned relative to the pupil (Figure 6).

Figure 6. Axial topography map over a multifocal scleral lens. Notice how the 2mm center near add (red) is well positioned, but it is too large over the patient’s pupil.
Current GP lens wearers may transition well into corneal multifocal GPs because they are already conditioned to GP wear. Older multifocal GP designs had highly aspheric back surfaces and, as a result, often induced spectacle blur with high add powers. Newer biaspheric multifocal GP lens designs incorporate the add power onto the anterior lens surface, and they are available in spherical and toric designs.
Proceed with caution when patients have tight upper lids, very small or very large pupils, and/or need high add powers. These lenses must translate properly so that the patient can see through both the distance and near zones. High- or low-riding GP multi-focals will deliver poor visual results. If upper lid tuck is excessive, steepen the base curve and/or decrease the lens diameter. If a lens exhibits excessive movement and drops with each blink, increase the diameter, steepen the base curve, and/or reduce the edge lift. If proper centration and translation cannot be achieved with these modifications, consider a scleral or hybrid multifocal, which consists of a spherical distance GP lens with a center front-surface near add. These larger lenses exhibit minimal movement and may result in more stable vision at all distances.
Post-Surgical Designs
Some of the most challenging contact lens patients are those who have undergone refractive surgery or PK. Many of these patients have undergone multiple surgeries and have poor vision with spectacles. Corneal topography will reveal highly irregular astigmatism, ectasia, and extremely prolate (positive shape factor) or oblate (negative shape factor) profiles. Pathology- detection software is also helpful in identifying these anomalies.
Traditional spherical soft or GP lenses are rarely successful for these patients because of the aberrations induced by the surgeries. In many cases, GP lens optics will allow you to overcome many of the aberrations by vaulting the central corneal irregularity; however, you must match the peripheral fit as well.
Reverse geometry lenses work well for oblate shapes and allow for a flat central base curve followed by a steep reverse curve. Most GP laboratories can design a reverse geometry lens based on the topography map; however, I recommend investing in a few good fitting sets to help you understand the designs and fitting processes for reverse geometry lenses. If you are just beginning to fit these lenses, ask your laboratory consultant for lens recommendations for your first few cases.
Create a Following
By incorporating the aforementioned diagnostic and fitting technologies into your practice, you will create a following of satisfied, loyal patients. CLS
For references, please visit www.clspectrum.com/references.asp and click on document #218.