SPECIALTY LENSES
Specialty Lens Designs for “Normal” Eyes
What to do when stock lenses don’t fit your patients’ comfort or visual performance needs.
By Robert Davis, OD, FAAO, & S. Barry Eiden, OD, FAAO
Wearing specialty contact lens designs need not be limited to “abnormal” eyes (i.e., those affected by disease, trauma, post-surgical complications, etc.). There are numerous indications for the application of specialty and custom-designed contact lenses to what we would consider “normal” eyes. Specialty and custom-designed contact lenses fit to the normal eye can be considered when standard “stock” lenses are unable to provide your patients with adequate lens wearing comfort and/or visual performance.
Specialty lens designs allow practitioners to more precisely address factors that limit success with standard lens designs and that commonly result in reduced contact lens wearing time or, perhaps even more concerning, dropout from contact lens wear. We know that contact lens dropout rates have been fairly consistent over the years at about 16% per year (Nichols, 2010; Rumpakis, 2010). These numbers typically equal the number of new patients being fit into contact lenses, thus creating a relatively flat contact lens market. The reasons for contact lens dropout vary; however, the majority of patients discontinue contact lens wear primarily due to contact lens wearing discomfort and dryness (Young et al, 2002). In addition, inadequate vision performance is also a common reason for dropout. With specialty and custom-designed lenses, you can specifically target performance deficits encountered with standard lens designs by controlling numerous features and parameters.
A contact lens divides the tear film into pre- and post-lens tear films. The pre-lens tear film clears debris with the blink. The post-lens tear film is controlled by the fitting characteristics of the contact lens and can cause tear stagnation, trapping debris corrected by customization.
In this article, we will review four examples of specialty contact lenses that can be utilized for normal eyes and describe how they can address significant performance limitations found with standard contact lenses.
Scleral Lenses
Scleral contact lenses have gained great popularity over the past number of years, specifically in managing irregular corneas and severe ocular surface diseases (Schornack et al, 2014). Scleral lenses vault over the corneal surface and are supported by the sclera. Because they vault the entire cornea, they create a post-lens tear reservoir that provides a continual “bath” of lubrication to the ocular surface. This results in a lens that protects the cornea from both the frictional forces of blinking and the desiccating effects of exposure.
The rigid nature of scleral lenses neutralizes corneal surface irregularities and corneal toricity. These lenses also fit under the upper and lower lid, providing a more secure fit and superior centration when compared to conventional corneal lenses.
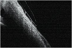
Fitting scleral lenses is typically done by selecting the best sagittal height match between the cornea and the contact lens. The desired central vault over the corneal surface varies according to lens design and the clinicians’ desired fitting philosophy for each individual patient. Typical values will range from about 150 to 400 microns. Figure 1 shows an example of excessive sagittal vault. Figure 2 shows an example of insufficient vault. And, Figure 3 shows an example of a desired amount of vault. Note: Scleral lenses settle into the bulbar conjunctiva over time following application. As such, central vault values can decrease by as much as 100 to 200 microns over a few hours after application.

Figure 1. Sagittal height of 850 to 1,000 μm = excessive vault.

Figure 2. Sagittal height of 40 to 90 μm = insufficient vault.

Figure 3. Sagittal height of 159 to 310 μm = desired amount of vault.
You cannot determine scleral lens vault by simply measuring the keratometric value. The vault of a scleral lens on an eye is based upon corneal sagittal height, which is influenced by corneal diameter, eccentricity, and corneal curvature. Larger corneas, lower positive eccentricity values, and steeper corneal curvatures will all result in greater corneal sagittal height.
A simple approach to measure the tear film depth beneath a contact lens (or central vault) is to compare the tear film thickness to that of the contact lens. When you instill sodium fluorescein (NaFl) into the bowl of the scleral lens prior to application and then observe the lens on the eye with an optic section viewed centrally, you will first see (going from anterior to posterior) the pre-lens tear film as a thin layer of green tear film fluorescence that is about 50 microns thick. Then, you will see a dark zone, which is the contact lens. Finally, you will observe another area that fluoresces with NaFl. This represents the post-lens/pre-corneal tear film. By comparing the thickness of this layer to the thickness of the contact lens, you can estimate the amount of vault in microns. Check with your contact lens fabricator for the exact thickness of the lens that you are evaluating (or you can verify its thickness in-office).
Alternatively, anterior segment optical coherence tomography (AS-OCT) can be used to precisely measure scleral lens vaulting at any point beneath the scleral lens and can also be used to evaluate the landing zone over the bulbar conjunctiva/sclera. You can determine the appropriate vault over the cornea by selecting the appropriate sag of the contact lens and measuring the post-lens tear film.
Typically, a scleral lens is divided into three fitting zones. First is a central zone, which vaults over the central cornea. Next is the midperipheral zone, which commonly is called the limbal clearance or transition zone. It is critical to avoid any limbal zone bearing in a successful scleral lens fit. Finally, there is the scleral landing zone, which lands on the bulbar conjunctival tissue (Figure 4). The scleral landing zone must not cause conjunctival compression (Figure 5), which will cause complications from impeding blood flow through the conjunctival vasculature. Conversely, edge lift off (Figure 6) also must be avoided or discomfort will occur.

Figure 4. Appropriate landing zone.

Figure 5. Landing zone causing compression.

Figure 6. Landing zone lift off.
Scleral lenses have enjoyed a renewed interest due to the enhanced fitting options employed by reverse geometry lens designs today. In the past, fitting options allowed only central base curve and peripheral curve modifications. Now we can control lens vaulting by manipulating the reverse curves while maintaining base curves. This often results in lens powers that are more reasonable with improved vision quality. Limbal vaults and peripheral landing curves and angles can be independently adjusted as well.
Benefits to Normal Eyes So how can scleral lenses benefit normal eyes? First, their stability on the eye and very low probability of dislocation, decentration, or folding on the eye present a significant advantage for patients who perform in highly demanding environments for either occupational or avocational activities. Next, the rigid optics, centration, and minimal movement with blink found with scleral lenses can provide excellent optical performance, especially for patients who have a high amount of astigmatism due to corneal toricity. In addition, front-toric designs can be applied to address internal astigmatism without concerns of unstable vision due to significant lens rotation. Scleral lenses are now being fabricated in multifocal designs. Once again, the exceptional centration and lack of significant movement makes the application of simultaneous multifocal designs quite attractive with scleral lenses. Finally, the corneal vault fit with scleral lenses can address desiccation symptoms often encountered with both soft and corneal GP standard lenses.
Hybrid Lenses
Hybrid contact lenses have been available in the marketplace for a number of decades. Older hybrid designs suffered from problems with tearing and separation between the rigid and soft portions of the lenses and also from very low oxygen permeability of both the rigid center and soft skirt sections. Newer hybrid designs have addressed the tearing and transition separation issues, and the latest hybrid designs are manufactured in high-oxygen-permeable GP and soft lens materials that can satisfy the daily wear oxygen requirement for any patient. Furthermore, some of the latest designs also incorporate ultraviolet A and ultraviolet B blockers.
However, issues still remained, primarily associated with lens tightening, binding, and secondary inflammatory ocular responses. These complications were found to be primarily a by-product of an inappropriate fitting philosophy that was promoted by the manufacturer until recently.
The latest hybrid lenses are available in two design families—one for irregular corneas and one for regular corneas. Today, a modification of the fitting approach has resulted in hybrid lenses that maintain movement throughout the lens wearing period. The new fitting method also virtually eliminates the inflammatory responses that were so common in the past. The goal when fitting the design for regular corneas is to achieve a lens-to-cornea relationship within the rigid section that is very similar to that of a GP alignment fit, while not creating any touch between the cornea and the rigid portion of the lens. The subsequent fit adjustments are controlled by the skirt zone selection, not the base curve (Figure 7).

Figure 7. Tear flow beneath a hybrid lens.
The simplest method of fitting this lens design is to have at least a 0.50D tear layer of clearance beneath the central portion of the rigid section. This is achieved by fitting the base curve 0.50D steeper than the flat keratometry (K) reading. When the difference between the principle corneal curvature meridians is greater than 1.00D, use the midpoint between the steep and flat K readings for the initial base curve value. We want near alignment to minimal apical clearance when selecting the appropriate base curve.
When fitting the soft skirt, use the flattest skirt curvature that does not result in edge lift off. When the lens is initially placed on the eye, the soft skirt will be maximally hydrated and there will be a period of five to 10 minutes during which the lens needs to come into equilibrium with the tear film. At this point, the lens fit will stabilize. We typically suggest waiting at least 10 to 15 minutes before you evaluate the fit in terms of centration, movement, and soft skirt alignment. We have become so confident in this new fitting philosophy for this hybrid design that we no longer utilize sodium fluorescein in our lens fitting evaluation. We depend entirely on lens positioning, movement, and patients’ subjective comfort response after lenses have settled on the eye. The vast majority of our patients are now fit empirically with this design without the use of diagnostic lenses. However, the hybrid design for irregular corneas still requires diagnostic lens fitting.
Benefits to Normal Eyes The concept of a hybrid contact lens is to provide patients with the optics of a rigid corneal contact lens and lens wearing comfort that is close to that of a soft contact lens. These lenses have the potential advantage to provide superb visual acuity and stability of vision for patients who have a high amount of refractive astigmatism due to corneal cylinder. They also can be used to address desiccation keratitis problems such as 3 o’clock and 9 o’clock staining, which is quite common in rigid corneal contact lens wearers. The improved centration and limited movement of a well-fit hybrid contact lens is also advantageous when considering simultaneous multifocal contact lens options.
Corneal Reshaping Contact Lenses
Corneal reshaping contact lenses were first approved by the U.S. Food and Drug Administration (FDA) in 2001. Today, a number of corneal reshaping lens designs have been approved for the treatment of myopia. The goal of corneal reshaping is to reduce the central corneal curvature through overnight wear of the treatment lens to provide clear daytime vision without the need for glasses or contact lenses. The efficacy and safety of corneal reshaping has been well documented over the years and, most recently, a number of studies have shown that corneal reshaping can slow the rate of myopia progression by as much as 50% (Bickle and Nichols, 2014), although this is an off-label use.
The fitting of corneal reshaping contact lenses has become quite straightforward, easy, and highly successful. Most corneal reshaping lenses can be fit empirically based upon manifest refraction, keratometric curvature findings, and corneal diameter measurements, while others utilize diagnostic lens fitting techniques or a combination of both. Outcomes are excellent and quite similar from design-to-design and from fitting method-to-fitting method.
Benefits to Normal Eyes Of primary concern to young patients who have progressive myopia is the potential of corneal reshaping to control this progression. Not only is myopia a nuisance in terms of its effect on daily living activities and the associated dependence on vision correction devices such as glasses and contact lenses, but there are numerous serious health concerns associated with myopia (especially of higher magnitudes) such as glaucoma, cataract development, and retinal diseases (both central and peripheral).
Beyond the ability to slow myopia progression, corneal reshaping can also help address daytime contact lens wear discomfort issues experienced by a significant number of patients. Wearing contact lenses during the day can exacerbate the deleterious influences of dry environments, allergen exposure, and extended time periods utilizing digital devices such as desktop computers, tablets, and smartphones. Because corneal reshaping contact lenses are typically worn during sleep and removed during waking hours, those patients who have experienced contact lens-associated discomfort and dryness often report significantly greater daytime comfort with corneal reshaping lenses when compared to their experiences with daytime lens wear modalities.
Not needing glasses or daytime contact lenses may offer additional advantages to people involved in various sports, dance, and other active participation endeavors. Additionally, many myopic individuals face challenges when swimming. Options include wearing prescription swim goggles, wearing goggles over contact lenses, wearing contact lenses without goggles and risking serious ocular infection, or simply swimming without vision correction. None of these options are as attractive as having clear vision while swimming without the need for vision correction devices, as would be the case with corneal reshaping treatment.
Custom Soft Contact Lenses
While prefabricated contact lenses are appropriate in many instances, having the ability to prescribe exact specifications to meet your patients’ needs allows you to serve them better. Custom soft lens designs also give practitioners the freedom to develop lenses with unique power profiles and fitting characteristics that produce superb comfort.
Custom Multifocal Designs Custom soft multifocal lens designs are one option for normal presbyopic eyes when standard frequent replacement soft multifocal lens designs are not able to adequately address the vision demands of our patients. Custom soft multifocal contact lenses can be fabricated in a variety of designs including aspherics, annular/concentrics, combination designs, and even in translating designs. We can fabricate near-center designs or distance-center designs according to the requirements of individual patients.
An important issue in the fitting and visual performance of multifocal contact lenses is the centration of the lens optics. We often make the false assumption that the line of sight is coincident with the geometric center of the pupil. Typically, the line of sight is slightly nasal to the center of the pupil; the difference is termed “angle kappa.” However, the magnitude of the difference can vary significantly from individual to individual. Contact lenses typically will center over the apex of the cornea and, as such, the center of standard multifocal soft lenses optics are often decentered from the line of sight, which can result in induced visual aberrations that can degrade the vision in an unpredictable manner. Certain custom soft multifocal contact lens designs can be fabricated with purposely decentered optics to place the center of the lens optics over patients’ line of sight. This can often maximize visual performance with the lens.
One of the keys to achieving success with multifocal contact lenses is to take into consideration pupil diameter size and its influence on optical zone sizes. Obviously, a 4.5mm pupil would require a different zone size than would a 5.6mm pupil (Figures 8 and 9). However, with standard or stock soft multifocal lenses, we have no control over zone sizes. With custom soft multifocal designs, we have the ability to not only specify all of the physical fit parameters mentioned previously, but we also can specify a wide range of add powers and zone size diameters. For example, some custom multifocal soft lens designs incorporate multiple zones that allow you to control the width of intermediate and peripheral zones in addition to the central zone. Modifying zone sizes with custom soft multifocal lens designs, especially when done with consideration of pupil size, will improve your success with your presbyopic patients.

Figure 8. A 4.5mm pupil.

Figure 9. A 5.6mm pupil.
Benefits to Normal Eyes With custom soft contact lenses, precise fitting of the lens to the ocular surface can be optimized. The ability to fabricate any desired base curve and overall diameter, as well as control the optical zone size and lens thickness profiles, allows practitioners to provide a far more individualized fit for their patients in comparison to standard or stock soft contact lenses. Furthermore, the far wider array of powers for sphere, cylinder, and axis in increments as small as 0.12D and 1° allows for much higher precision of vision correction. Patients with what would be considered normal eyes often can benefit from this customization.
Concluding Remarks
Specialty and custom contact lenses can be designed for normal eyes to optimize patients’ wearing experience. Today’s contact lens practice has placed maximum emphasis on the disposability element of contact lenses. Frequent lens replacement does reduce the incidence of a variety of complications. However, we may have swung the pendulum slightly too far and have sacrificed the most important performance requirement of contact lenses: vision quality. The use of specialty and custom-designed contact lenses can allow contact lens practitioners to precisely optimize our patients’ visual performance. In addition, these lenses can optimize contact lens wearing comfort and physiological response, and they can allow our patients to function visually in challenging physical environments.
By incorporating specialty and custom contact lenses into your practice, you can dramatically differentiate yourself from the practices that only provide standard design contact lenses for their patients. Create a “win-win” situation by using these lenses. Do the best for your practice and, most importantly, do the best for your patients. CLS
To obtain references for this article, please visit http://www.clspectrum.com/references and click on document #231.
![]() | Dr. Davis is a co-founder of EyeVis Eye and Vision Research Institute and practices in Oak Lawn, Illinois. He is an adjunct faculty member at Southern California College of Optometry, Illinois College of Optometry, Pennsylvania College of Optometry at Salus University, and University of Alabama at Birmingham. Dr. Davis is a Diplomate in the Cornea, Contact Lenses and Refractive Technologies section of the American Academy of Optometry as well as an inductee in the National Academies of Practice in Optometry. He has received research funds from SynergEyes, CooperVision, and B+L and has a proprietary interest in SpecialEyes, Alternative Vision Solutions, and in the Recess Pillow Lens System. |
![]() | Dr. Eiden is president and medical director of North Suburban Vision Consultants, president and medical director of the National Keratoconus Institute, and co-founder of EyeVis Eye and Vision Research Institute. He is an adjunct faculty member at The University of Illinois Medical Center as well as at the Indiana and Illinois Colleges of Optometry and Pennsylvania College of Optometry at Salus University. He is also a consultant or advisor to CooperVision, Alcon, B+L, Visionary Optics, Alden Optical, Oculus, Oasis Medical, Paragon Vision Sciences, and SpecialEyes. |