March 2015 Online Photo Diagnosis
BY LUCIANO BASTOS
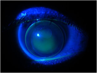
Corneal Dellen or Dimple Veiling?
This image shows the eye of a 26-year-old male patient who has keratoconus fitted with a GP contact lens. It also shows what seems to be a corneal dellen condition obscured by the central fluorescein pooling.
Corneal Biomicroscopy
At the initial visit, we noted that the patient’s keratoconus in the right eye had progressed. However, he had not interrupted his GP lens wear two to three days prior to the exam and new test. As he lives in another town and could not return in a few days, we decided to estimate the level of the progression, which can result in an under or over estimation of the amount of change needed in the new GP lens parameters.
The patient’s previous GP lens had parameters of 55.50D × 45.00D (6.08mm × 7.50mm) base curve, 9.4mm overall diameter (OAD), 6.0mm optical zone (OZ), and –16.00D power. We changed this to 58.00D × 45.00DD (5.82mm × 7.50mm) base curve, 9.3mm OAD, 6.0mm OZ, and –18.25D power. The lens appeared to have adequate corneal clearance at the corneal apex and midperiphery.
The lens fit looked good at dispensing, but at the 10-day follow-up visit, we noticed an air bubble of fair size and were surprised to see what we believed to be an oval, marked staining. We were not sure whether there was dimple veiling that resulted from the formation of a great bubble slightly below the geometric center of the cornea, or if the patient induced the bubble when he applied the lens that day. The patient was asymptomatic and did not notice the bubble. When we instilled fluorescein, the bubble disappeared and left the oval mark seen in the image.
We considered that the lens periphery was too tight to the cornea, causing the lens to not move properly and resulting in lack of tear film at most of the edge circumference, especially from the central cornea to the lower cornea area. This could eventually lead to 3 o’clock and 9 o'clock staining.
Case Resolution
Fortunately, there was no desiccation and no signs of corneal thinning,1, 2, 3 so we excluded the dellen condition and concluded that the slight depression was dimple veiling that was mechanically induced as the lens compressed the bubble.1, 2, 3 We modified the lens, increasing the midperipheral zone and edge lift. Figure 2 shows the result. Note that there is fluorescein pooling at the center, so the base curve was steep enough to accommodate the new corneal shape after the keratoconus progression. We were able to correctly estimate the changes needed that would guarantee the safety of the patient, with 20/20 visual acuity, comfort, and continuing corneal physiological health.
Figure 2. Same lens after polishing and increasing midperiphery eccentricity value and edge lift.
Conclusion
Sometimes we need to divert from our normal protocol to help a patient who urgently needs a refit, but the chances of making small errors and miscalculations increase the more you move away from what is usually done.
In this case, the lens parameters were not allowing adequate tear exchange, and the air bubble that was likely induced by the patient during lens application caused an oval depression large enough to simulate a corneal dellen oval mark.1, 2
Mr. Bastos is the director and clinical instructor of specialty contact lenses at the Instituto de Olhos Dr. Saul Bastos (IOSB), and is the director and specialty lens consultant of Ultralentes, a small laboratory specializing in GP and scleral lens designs in Porto Alegre, RS, Brazil.
References
1. White P. Contact Lens Complications - Part II. Contact Lens Spectrum 2000 Feb;14:33-40.
2. McMahon T. Dellen and Dimple Veiling. Contact Lens Spectrum 2002 May;17:52.
3. Weismann B. Assessing and Treating Complications. Contact Lens Spectrum 2006 June;21:52, 54, 56-59.
4. Gasson A, Morris, J. The Contact Lens Manual - A practical guide to fitting - Third Edition. Butterworth, 2003:363.
5. Nathan E. Contact Lens Complications - Second Edition. Butterworth Heinmann. 2004:60-110, 113.


