Contact Lens Care & Compliance
Contact Lenses and Swimming: A Compliance Lesson
BY SUSAN J. GROMACKI, OD, MS, FAAO
As I sit here by the pool, I am reminded that summer is still very much in session—at least in Maryland. The hot weather brings the all-too-familiar question for contact lens practitioners: “Can I swim while wearing my contact lenses?”
Although some patients have unfortunately never been taught not to swim while wearing their contact lenses, many others swim in them despite the fact that their practitioner has advised against it. The commonality between both groups is that few patients understand why this practice is contraindicated. In my practice, I have found that if patients understand the “why,” then they are more likely to exhibit good compliance with our instructions.
The Why
There is a reason why the U.S. Centers for Disease Control and Prevention, U.S. Food and Drug Administration, American Optometric Association, American Academy of Optometry, and American Academy of Ophthalmology have strongly advised against swimming while wearing contact lenses (this also includes showering, bathing, and hot tub use). Water from most sources (tap, stream, river, lake, pool, etc.) contains pathogens. These include bacteria and viruses, which are difficult (but not impossible) to kill, both by contact lens care systems and by current anti-infective agents.
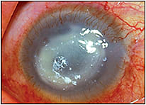
Acanthamoeba, meanwhile, is a ubiquitous parasite particularly found in water. It also is not always eradicated by our currently available lens care solutions, particularly if it morphs into its cystic state (Lonnan, 2010; Johnston, 2009; Shoff, 2007). If it invades the cornea, the damage can be devastating. (Figure 1).
Figure 1. Acanthamoeba keratitis.
COURTESY OF PATRICK J. CAROLINE, FAAO
The treatment regimen requires the application of various ophthalmic medications, initially around-the-clock, for an average of 19 months (Kaiserman, 2012; Stapleton, 2009). On average, the visual acuity after rehabilitation is 20/50 (Kaiserman, 2012; Stapleton, 2009), but the condition can be blinding. Fifty-five percent of patients in one practice who contracted Acanthamoeba keratitis (AK) required corneal transplantation (Kettesy, 2012).
In the United States, an estimated 85% to 90% of AK cases occur in contact lens wearers (Patel, 2008; Stehr-Green, 1989; Bennett, 2007). The greatest risk factor for this infection, in many studies, is exposure to water through swimming, showering, or using a hot tub while wearing contact lenses (Samples, 1984; Kaji, 2005; Stockman, 2011).
Alternative Strategies
Willing to make a compromise? Then fit your patients with daily disposable contact lenses and enforce that they remove them immediately after swimming. This not only ensures that a contaminated lens is removed from the eye, but it also eliminates the contact lens case as a reservoir for the pathogens. Another option is to recommend air-tight goggles—if patients are confident that no water will enter through them.
Whatever your decision, the key to establishing proper patient compliance is to utilize good communication (Gromacki, 2012). The more educated our patients are, the more likely they will be to remain infection-free—during the summer season and always. CLS
For references, please visit www.clspectrum.com/references and click on document #238.
Dr. Gromacki is a diplomate in the American Academy of Optometry’s Section on Cornea, Contact Lenses and Refractive Technologies and practices in Chevy Chase, Md.


