TORIC LENSES
Toric Tune-Ups
What is new when considering contact lens correction of astigmatism?
By Lindsay A. Sicks, OD, FAAO
In a survey of contact lens prescribing habits in the United States from 2002 to 2014, Efron and colleagues (2015) found that toric lenses comprised 25% to 30% of all soft lens fits, a figure that they called “high (but still suboptimal)” in their conclusions. We are indeed not yet hitting the mark if you consider findings that 45% of spherical soft contact lens wearers have 0.75D or more of refractive astigmatism (Holden, 1975; Edrington, 2011).
However, for seven major markets studied from 2000 to 2014, there has been an approximate doubling in the proportion of toric lenses prescribed, with some of the markets meeting or exceeding the 45% threshold (Morgan et al, 2014). These increases are likely the result of manufacturing processes that improve toric lens reproducibility and stability as well as practitioners’ growing confidence in soft toric correction and its benefits, even at lower levels of astigmatism.
As manufacturers tune-up their processes to optimize success, so should we examine our fitting philosophies, current options, and future endeavors in the correction of astigmatism.
The Classics
Let’s first review some of the processes that you may already be utilizing daily to satisfy your toric lens patients. The fundamentals of success with any contact lens in general, aside from patient motivation to wear contact lenses, include proper patient selection, accurate lens assessment (Table 1), and appropriate patient education.
| Soft Toric Lens Tips | |
| 1. | Don’t forget to vertex convert each meridian separately (or use a vertex calculator). |
| 2. | Undercorrect the refractive astigmatism in the contact lens, if necessary. |
| 3. | Ensure that the lens you want to fit is available in the needed parameters. |
| 4. | Apply the lens with the toric marker in the correct orientation where possible. |
| 5. | Measure lens rotation (using slit lamp or estimation) and assess stability. |
| 6. | Assess lens recovery from misalignment with the slit lamp. |
The generally accepted minimum threshold for astigmatic prescribing is –0.75D of vertexed refractive cylinder. This metric is reasonable given a recent study showing that custom toric correction of smaller amounts of astigmatism (such as –0.50DC) in soft contact lens wearers did not provide a significant improvement in visual acuity when compared to spherical off-the-shelf lenses (Gaib and Vasudevan, 2015). For those who have higher amounts of refractive astigmatism, many off-the-shelf options extend to –2.25DC in increments of 0.50DC, with some even in the –2.75DC range, without falling into the “extended range” category that we typically consider custom.
Recall that vertex considerations reduce the amount of minus cylinder power in contact lenses when compared to spectacles. You also want to undercorrect, not overcorrect, the cylinder power when the exact parameter is not available (to preserve optics and lens thickness). A great example is a prescription with both higher sphere and cylinder power for which busy clinicians may neglect to vertex convert each meridian separately. A manifest refraction of –7.00 –3.00 x 180 will vertex back to approximately –6.50 –2.50 x 180 at the corneal plane. The vertex distance effectively reduces the minus cylinder power needed in the contact lens to –2.50DC. Following the rule of thumb to undercorrect, an off-the-shelf lens may be a more readily available option for this patient after all; we would choose a lens with –2.25DC. In the custom soft toric and GP lens arena, lens parameter availability is certainly much greater and, in some designs, unlimited with higher amounts of refractive error.
In terms of lens assessment, settling of the toric lens can be crucial; however, most patients won’t necessarily want to wait 15 minutes for their toric lenses to settle in the morning. So, why should we wait that long in the office? A carefully planned soft toric follow-up visit can allow you to assess whether lens rotation is stable or unstable and how it could be affecting acuity throughout the day.
If rotation is unstable, a different lens design and stabilization system should be considered. If the rotation is excessive, keep in mind that the full toric power will come through in over-refraction at a lens misalignment of 30º, also known as Snyder’s Rule (Snyder, 1989). That is definitely a point at which you should consider changing lens designs rather than adjusting the lens axis based on the rotation (a.k.a. the LARS principle—left add, right subtract).
We can also advise patients to apply the lens with the toric marker facing in the appropriate direction (e.g., a lens with 3 o’clock and 9 o’clock markers would be placed on the finger with the markers oriented to the left and right) so that once the lens is applied to the eye, it has the best chance of proper alignment in a timely fashion (Figure 1). If patients are unable to see the markers and/or cannot apply lenses in this manner, just educate them on the short period of blur that may occur while the lens aligns itself.
Figure 1. A soft contact lens with multiple 6 o’clock markings that can be identified together with patients in-office. Patients would be advised to rotate the lens on the finger prior to application so the markings are closest to them. When applied, the lens markings would then be located at 6 o’clock on the eye.
You can evaluate toric lens rotation on-eye using your slit lamp beam or estimate rotation by using the clock hour method (rotation of one clock hour is 30º) (Figure 2). Once estimated after settling, you can further assess the ability of the lens to recover or re-orient after axis misalignment by performing a push-up test in primary gaze at the slit lamp.
Figure 2. Slit lamp tower with both light tower and objective arms coaxial. With a parallelpiped beam, the light housing is turned to demonstrate 10º of rotation (one-third of one clock hour). While the tower itself appears rotated to the right, the lens base (at 6 o’clock) will be rotated to the left.
An ideal fit will exhibit prompt recovery to the initial position after any disruption from the push-up. You can also manually rotate the lens off-axis and note how long it takes the lens to recover with normal blinking. Another quick subjective assessment is to have patients change gaze quickly to the extreme positions while you assess the speed and consistency with which the lens returns to its initial position in primary gaze.
Today’s Hot Sellers
Standard Soft Toric Options The benefits of daily disposable lenses are numerous, among them the elimination of care systems, increased convenience for patients, and improved ocular health for long-term success with contact lens wear (Efron et al, 2015; Efron, 2010; Hickson-Curran et al, 2014). As daily disposable options have expanded, so too have available toric options in both hydrogel and silicone hydrogel (SiHy) materials. Recent releases of SiHy daily disposable toric lenses have increased the modality further to offer a daily disposable option that also has increased oxygen transmissibility. These lenses may be an ideal refit choice for toric patients who have a history of lens overwear or for those who have mild neovascularization for whom you wish to prescribe the benefits of increased oxygen while also maintaining compliance with daily replacement. The toric daily disposable modality is still somewhat limited in its axis availability, with some offerings only available in 20º steps on either side of vertical and horizontal. Additionally, some only extend to cylinder powers of –1.75DC.
The current availability of standard “off-the shelf” extended range toric lenses is limited to hydrogel products in the United States, but we can look forward to a launch of a new SiHy extended range lens in the near future. With extended range toric products, the focus will be on thickness profile and stabilization methods to optimize vision, comfort, and oxygen transmissibility. For now, there are a myriad of custom soft toric designs available in both hydrogel and SiHy materials in a variety of replacement schedules that can fill the gap.
Custom Soft Toric Options When deciding among custom soft contact lens options, it can be confusing to know where to start. You may already know that you don’t want the standard 8.6mm base curve or 14.2mm overall diameter, but how do you know how much flatter/steeper or larger/smaller to order based on your patient’s measurements?
You may find success with utilizing an online arc-length fitting calculator to gauge a starting point for a custom lens. This calculator allows you to design your own custom lenses using patients’ horizontal visible iris diameter (HVID), spectacle prescription, and keratometry measurements. After entering data into the calculator, the algorithm assists in design of a contact lens that matches the arc length of a patient’s cornea. You can then order the base curve, power, and overall diameter suggested by the algorithm or make custom adjustments as desired.
Another strategy to fine-tune your custom soft toric lens fitting is to take advantage of all the customizable parameters available from your particular laboratory and lens design. One such example is ordering varying amounts of prism in the contact lens to optimize the fit. We initially think of altering parameters such as base curve or diameter when a lens is unstable. However, some laboratories with prism-ballasted or prism-ballast combination lenses may be able to increase the amount of prism in the ballast to improve the fit. Conversely, if vision is affected by too much prism entering the optical zone of the lens (such as in a binocular vision issue or monocular astigmat), you may be able to reduce the amount of prism rather than refitting altogether.
Topography-based lens manufacturing is gaining popularity in the custom lens marketplace and can be an especially useful tool for patients who have astigmatism. At least one laboratory can currently take the proprietary mapping data files from a commonly used topographer and create a truly custom soft contact lens design. There are also contact lens fitting software modules that allow you to fit GP lenses and view the predicted fluorescein pattern on-eye. These fitting methods will likely grow in popularity and utilization over the coming years as we integrate even more technology into our practices.
The newest topographers can extend beyond the cornea and onto the sclera, some as far as 20mm in diameter, to assess sagittal height among many other parameters. Laboratories will be able to utilize these maps and data to fit truly custom soft and scleral designs. If you aren’t already obtaining routine topography on each of your contact lens patients, you may find even more value in it as these technologies evolve.
Material choice is still a consideration with toric lenses, especially considering the thickness profiles that can be created when high hyperopic spherical corrections are combined with prism ballasting. Custom laboratories continue to offer standby methafilcon and hioxifilcon materials, but many have also introduced a latheable SiHy option in efrofilcon A. Consider upgrading hydrogel toric patients to custom SiHy lenses when the opportunity presents itself for improved long-term ocular health.
Hybrid Lenses Fitting paradigms for both the single vision and progressive second-generation hybrid lenses for normal corneas have been updated to recommend empirical fitting based on flat keratometry readings (Sonsino, 2014). The normal cornea designs can each be ordered empirically from the manufacturer, while the irregular cornea design still requires a fitting set and certification prior to ordering. For astigmatic patients who are adequate GP lens candidates, the advantages can be numerous: stable vision, easy adaptation, and consistent lens centration. Irregular cornea patients are also able to take advantage of this modality with both the vaulted sagittal height design as well as the newly launched prolate design for post-surgical corneas.
Scleral Lens Options for Regular Corneas New scleral lens designs have exploded onto the market over the last decade and, while once reserved for irregular corneas, they are now becoming a more common mode of astigmatic correction for regular cornea patients (van der Worp et al, 2014). For astigmatic patients unhappy with vision and/or comfort in a soft toric or hybrid lens, a scleral lens may now be your lens of choice.
Many laboratories now offer scleral lens designs specifically for regular corneas. Some of these designs also feature a front-toric option for when residual astigmatism persists even after an optimal fit is achieved. When considering whether a patient needs this front-toric option, ensure that you first have an optimal scleral lens fit. This includes consideration of central clearance, limbal clearance, peripheral landing, lens settling, and over-refraction.
If there is minimal toricity (say, less than 0.75DC), examine the center thickness (CT) of your scleral lens design. Increasing the CT can assist in mitigating this small amount of residual astigmatism that is likely due to flexure. If the astigmatism is >1.00D and/or persists after increasing the CT, then double check the over-refraction axis and order a lens with additional front-toric correction.
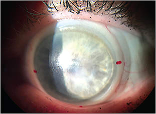
Front-toric scleral lenses typically feature a toric marking so you can assess lens stability on-eye (Figure 3). Keep in mind that if your lens also has toric peripheral curves in addition to a front-toric correction, there may be multiple markings on the lens surface. You can also use the markings to advise patients on how to position the lens prior to application if desired.
Figure 3. A scleral lens with front-toric markings in situ.
COURTESY OF STEPHANIE WOO, OD, FAAO
One of the disadvantages to scleral front-toric correction is that the prism ballast can interfere with vision and comfort or the lens can be unstable. In such cases in which a front-toric correction is not sufficient, spectacle over-correction is a viable option.
Current Contact Lens Concepts
Now that we have reviewed the current availability of some contact lens options for correcting astigmatism, let’s examine some current research on related astigmatism topics.
There are several widely used methods of toric stabilization: prism-ballast, peri-ballast, eccentric lenticulation, back-surface toricity, thin-zone, truncation, and various combinations of these designs (Edrington, 2011). Many of these types of stabilization are fabricated with a thickness variation across the profile of the lens. While older studies have suggested no difference in stability between soft toric lens brands (Jurkus et al, 2003; Tomlinson et al, 1986), one study suggested that back-toric stabilization may be a superior choice (Goldsmith and Steel, 1991).
A recent publication using contemporary lenses and materials sought to identify the best soft toric lens specifically for lens rotation and rotational recovery (Momeni-Moghaddam et al, 2014). Patients were fit with five different lens types, and all fits were judged to be optimal. After application, lens alignment was assessed, followed by rotational recovery after a 45º manual misalignment. The lens with the least misalignment among those tested was judged to have an “optimized ballast technique” of stabilization.
In patients who experience habitual lens misalignment, consider the stabilization system used and the potential for a change in that design to improve vision and stability. If you are using a custom soft lens that is unstable, the laboratory may be able to direct you to an alternate design within its portfolio that features a different method of stabilization.
Another consideration regarding lens stabilization and the resultant thickness variation is oxygen transmissibility beneath the lens. Researchers presenting at the annual meeting of the British Contact Lens Association found that lens design and power can both have effects on the oxygen transmissibility over the complete lens, with optic zone and periphery analyzed separately (Hough et al, 2015).
Overall, the findings suggest that in SiHy soft toric lenses, the Dk/t published is about twice that of the actual Dk/t in these zones. Perhaps as expected, prism-ballasted lenses’ Dk/t dropped with increased amounts of hyperopic correction. However, lenses with dynamic stabilization maintained fairly uniform values across lens powers examined. This may become a consideration if you have a long-term soft toric lens patient who is developing inferior neovascularization from long-term wear of a prism-ballasted soft lens.
Another consideration for soft toric contact lens wearers, especially those who have binocular vision disorders, is the effect that a prism-ballast system may have on vision and visual performance. This also comes into play when we fit patients with a toric lens in one eye and a spherical lens in the other.
A recent study evaluated the resultant vertical prism of a variety of soft toric contact lenses and found, perhaps predictably, that designs utilizing prism and peri-ballast systems had vertical prism present in the central optic zone (Sulley et al, 2014). The authors concluded that thin-zone designs may be the best option for monocular astigmats because the prism was minimal within the optic zone.
Newly published research has also sought to characterize the sagittal height of several off-the-shelf soft spherical and toric lens options (van der Worp and Mertz, 2015). When comparing a spherical and toric lens of the same design, “this switch could mean an almost 500µm change [in sagittal height], but in another lens design this may mean virtually no difference at all in sagittal height.” It remains to be evaluated in the literature whether these differences in sagittal height have a clinically significant impact on-eye, but the results certainly could affect how we approach choosing an initial soft toric lens in the future.
Finally, one recent publication suggested that correction of astigmatism in soft contact lenses can improve driving safety (Cox et al, 2015). Subjects who have astigmatism (–0.75DC to –1.75DC) completed tactical driving maneuvers in a simulator with no correction, spherical correction, and then toric correction. The tactical skills tested had been shown through other research to be predictive of future real-world collisions.
The authors concluded that toric correction was significantly safer compared to no correction. Spherical correction was not significantly safer compared to no correction. No direct comparison could be made between spherical and toric correction, so more research is warranted given the potential for public safety implications.
Certainly, each of these studies deserves further research as we seek to improve our success with contact lens fitting. With toric lenses, we have hurdles that include not only the standard challenges of providing crisp acuity, day-long comfort, and ease of use, but also extra challenges such as lens rotation and stability. Each new challenge serves as a good reminder to make sure that your skills are tuned-up before you hit the road. CLS
For references, please visit www.clspectrum.com/references and click on document #238.
| Dr. Sicks is an assistant professor at Illinois College of Optometry and an attending at the Illinois Eye Institute Cornea Center for Clinical Excellence. She has received research funding from SynergEyes, travel funding from Valley Contax, Johnson & Johnson Vision Care, and CooperVision, and lecture or authorship honoraria from X-Cel Specialty Contacts, ASCO, and the STAPLE Program. |


