April 2016 Online Photo Diagnosis
By Gregory W. DeNaeyer, OD, FAAO
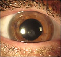
Figures 1 and 2 show the right cornea of a 66-year-old patient’s right eye. The patient had undergone penetrating keratoplasty secondary to Fuchs’ corneal dystrophy. She had been successfully wearing a large-diameter corneal GP lens. Approximately one year later, she returned for a follow-up exam and had no complaints. However, slit lamp exam showed an area of paracentral thinning surrounded by edema.
Figure 1
Figure 2
The patient was instructed to discontinue contact lens wear, and after resolution she was refit into a scleral contact lens, which she has been successfully wearing for the last five years (Figure 3).
Figure 3


