August 2016 Online Photo Diagnosis
By William Townsend, OD, FAAO
This 50-year-old female presented with a four-day history of moderate pain, photophobia, and reduced vision in her left eye. She wore soft contact lenses continuously for up to one week. In her work as a security guard at a local feedlot, she was frequently exposed to “fecal dust” (i.e., dried cow manure that, under hot, dry weather conditions, degrades into a fine powder and becomes airborne under windy conditions).
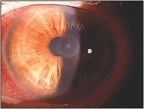
She continued to wear her lenses for the first three days after she initially experienced symptoms, but finally removed them on the day prior to her visit. Visual acuities with spectacle correction were OD 20/30 and OS 20/50. The right eye showed moderate peripheral corneal neovascularization, but otherwise was unremarkable. The left eye was extremely injected, but the most striking feature was a ring infiltrate located temporal to the visual axis. The center of the infiltrate stained faintly with fluorescein; the ring did not stain. We noted grade 1 cells and flare in the affected eye.
These lesions are thought to occur secondary to an immune response to the offending organism. Potential diagnoses associated with ring infiltrates include Acanthamoeba keratitis, sterile inflammatory keratitis, fungal keratitis, and bacterial keratitis1.
In an evaluation of laboratory-confirmed infectious keratitis, Mascarenhas et al2 identified specific clinical findings associated with amoebic, fungal, and bacterial disease. They noted that the incidence of ring infiltrates is higher in cases of Acanthamoeba keratitis than it is in fungal and bacterial keratitis. Satellite lesions have also been reported in conjunction with amoebic keratitis. Risk factors for Acanthamoeba keratitis include contact lens wear, orthokeratology, water exposure, and certain contact lens solutions.
Fungal keratitis may also present as a ring-shaped infiltrate. Satellite lesions also occur in fungal keratitis at approximately the same frequency as that found in Acanthamoeba. Significant uveitis is a frequent finding in fungal lesions. Factors that increase the risk for fungal keratitis include contact lens wear and prior penetrating keratoplasty, diabetes, and recent traumatic corneal injury involving vegetable matter3.
We initially diagnosed this case as bacterial keratitis, and prescribed moxifloxacin hydrochloride 0.5% solution with a loading dose every hour. The following day, there was improvement in the anterior chamber response and staining; we reduced the dosing to every six hours. The staining and uveitis improved over the course of a week and gradually resolved, however the ring infiltrate persisted for several weeks.
Dr. Townsend practices in Canyon, Texas, and is an adjunct professor at the University of Houston College of Optometry. He is president of the Ocular Surface Society of Optometry and conducts research in ocular surface disease, lens care solutions, and medications. He is also a consultant or advisor to Alcon, Allergan, NovaBay, TearScience, TearLab, and Science Based Health. Contact him at drbilltownsend@gmail.com.
References
1. Wallang BS, Das S, Sharma S, Sahu SK, Mittah R. Ring infiltrate in staphylococcal keratitis. J Clin Microbiol. 2013 Jan;51:354-355.
2. Mascarenhas J, Lalitha P, Prajna NV, Srinivasan M, Das M, D’Silva SS, Odenburg CE, Borkar DS, Esterberg EJ, Lietman TM, Keenan JD. Acanthamoeba, fungal, and bacterial keratitis: a comparison of risk factors and clinical features. Am J Ophthalmol. 2014 Jan;157:56-62.
3. Ho JW, Fernandez MM, Rebong RA, Carlson AN, Kim T, Afshari NA. Microbiological profiles of fungal keratitis: a 10-year study at a tertiary referral center. J Ophthalmic Inflamm Infect. 2016 Dec;6:5.


