March 2016 Online Photo Diagnosis
BY LUCIANO BASTOS
GP Fit for a Patient with High Astigmatism After a Corneal Transplant
This patient was first seen at the Instituto de Olhos Dr. Saul Bastos on February 1, 1974. At that time, he was my father’s patient; I was only 8 years old then, and none of our current staff was there at that time. The patient had bilateral keratoconus, and he underwent keratoplasty at some point during the 1990s. He has worn hard contact lenses since 1974 when they were only made in PMMA. During his initial appointment, the patient was immediately refit with the first-generation GPs from Permable Contact Lens (Leonard Seidner) This reminds me of my introduction to contact lens and cornea studies, which coincided with the introduction of the much-expected GP contact lens materials. Since then, I have developed a great affection for the study of, and experiments in, this field.
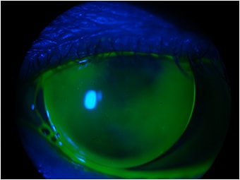
This is an interesting case of a post-corneal transplant from more than 20 years ago, in which we managed to fit GP lenses from the beginning and never needed scleral lenses (Figures 1 and 2). Instead, we periodically managed the GP lens design and diameter to achieve long-term comfort and the best visual acuity possible. Although the patient had a corneal transplant in both eyes more than 10 years apart, both eyes had similar resultant topography overall. So, we will show only the left eye, which was refit earlier this year.


For that left eye, we chose a GP lens with the following parameters: a base curve (BC) of 49.50D (6.82mm), a power of –15.75D, an overall diameter (OAD) of 9.8mm, and an aspheric design. With this lens, the patient achieved a best-corrected visual acuity (BCVA) of 20/25 OS.
Note that while the GP fitting is fairly good, there is still an enormous amount of irregular astigmatism with an oblique pattern. In a slit lamp lateral view, it is possible to observe lacrimal secretion. This patient is able to wear his lenses all day long, from when he wakes up until he goes to sleep. Additionally, there are no clinical signs of any disturbances. There was absolutely no sign of corneal staining following lens removal.
Figure 3 shows a simulated keratometry corneal topography that was obtained as a part of a follow-up appointment in January 2016.

Figure 3. Corneal Topography OS, January 2016.
Another Approach in GP Lens Design
During the last decade, we have made attempts to improve the fittings for our contact lens patients. While we always use a customized design, sometimes we use a different approach, such as the one shown in Figure 4.

Figure 4. Another more complex design tried on the left eye.
This lens design is more complex. While the patient liked it, it seemed that the lens had a more significant touch immediately above the center (i.e., superior paracentral cornea), which led the patient to experience increased lens awareness. Once again, no fluorescein staining was observed after more than six hours of consecutive wear.
This GP lens had the following parameters: a BC of 53.50D x 47.00D, an OAD of 10.4mm, –19.00D power, and an optical zone diameter (OZD) of 7.3mm.
Case Resolution
With feedback from the patient, we concluded that he preferred the first lens because it was more comfortable and caused no lens awareness. On the other hand, the more complex design suited him better when playing tennis, as the larger GP lens design offered better centration and less movement. The patient opted to keep both GP lens designs.
Conclusion
As all specialty contact lens fitters know, there is not always a single correct solution in terms of contact lens design for challenging cases. The most important goal is to achieve the best possible results with best visual acuity, patient comfort, and especially to keep the corneal physiological response at its best.
Luciano Bastos is director and clinical instructor on specialty lenses at the Instituto de Olhos Dr. Saul Bastos – Brazil.