This photo shows the right eye of a patient of the Instituto de Olhos Dr. Saul Bastos (IOSB). She is a 74-year-old woman who lives in Brasília—another state—and usually comes to visit us once a year. She has moderate keratoconus OD and severe keratoconus OS. In 2016, Dr. Marcelo Bittencourt (IOSB) found early-stage cataracts OD and OS and mentioned that, at some point in the future, she would need to undergo surgery (phacoemulsification with intraocular lens [IOL] implant). She came to this year’s visit planning to be refit into a new GP keratoconus lens OS following cataract surgery.
The patient informed us that she had undergone the surgery OS six months ago and needed a refit with a new Rx. She was not planning to refit the right eye because she was already scheduled for cataract surgery in that eye in the next month. She also had plans to travel abroad before the surgery.
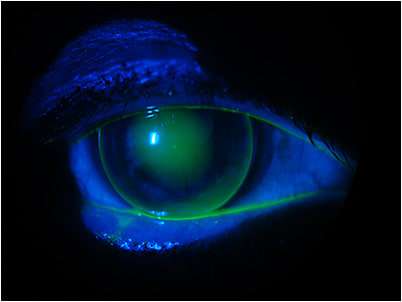
Fluorescein staining OD revealed an initial corneal abrasion (Figure 2) that would result in corneal erosion if lens wear continued. We also observed that she had a visual acuity (VA) of 20/25 OD with her current keratoconus GP lenses.

It is important to mention here that it was quite difficult to determine the new correction OS. The surgeon had implanted an IOL with full spherical correction (monofocal) OS, but there was a significant amount of irregular astigmatism.
We had to rethink and evaluate the case. We could not let her keep wearing the OD lens because it would lead to a more serious complication. We also discussed with her that her VA OD with a contact lens was still satisfactory, and cataract surgery could be postponed.
We instructed her to stop wearing her OD lens for two days and prescribed Epitezan (Allergan, not available in the United States) t.i.d. to heal the epithelium.
The fit OD the previous year was fine, so we presumed that she did not have any ectasia progression. Rather, it appeared that she had a topographic, anterior elevation change to her keratoconus from wearing and using only the OD lens for about six months after the surgery OS. We still opted for a steeper base curve to protect the cornea. Figure 3 shows the 2016 sagittal curve map, and Figure 4 shows the same map in 2017.


Note the topographic change from 2016 to the recent, 2017 image.
The previous lens OD from 2016 was a keratoconus GP design with the following parameters: 56.50D x 45D base curves, –12.50D power, 9.6mm overall diameter (OAD), 125 Dk GP material. The new lens (Figure 5) is the same keratoconus GP design with parameters of 59D x 45D base curves, –14.00D power, 9.8mm OAD, and 125 Dk GP material, with 20/25 VA.

The patient was instructed to discuss the possibility of postponing the cataract surgery OD due to the fact that her vision was fine in this eye.
It is interesting to note that our patient, who is in her 70s, was fine with the same prescription over the last three years, indicating that her condition was stable. Only when she was required to wear just her OD lens for six months while she was recovering from the cataract surgery OS did we observe the topographic change. We also observed that OS there was no significant change in her topography using the sagittal curve map.