Conjunctival injection, whether it presents alone or with other symptoms, is an important factor in ocular disease diagnosis. Hyperemia results from inflammation and engorgement of blood vessels in the conjunctival tissue. Eyecare practitioners utilize soft measurement to categorize this physical finding and rely on human perception rather than direct physical measurements.
There are a variety of different scales to measure conjunctival injection. Most of these require physicians to compare the redness to a standardized set of photos, which allows a relative variance among practitioners observing the same eye.1 Thus, it is essential for a physician to select one scale and become familiar with it to monitor resolution of the injection and the effectiveness of the treatment plan selected for a patient. It is also essential to place hyperemia in the bigger picture by considering patient history of present illness (HPI), demographics, systemic conditions, and other ocular symptoms and signs to determine a proper diagnosis and treatment plan (Table 1).
1 | Is the condition unilateral or bilateral? |
2 | Is the onset acute or gradual? |
3 | Is the injection localized or diffuse? |
4 | Is concomitant photophobia, discharge, pain, or chemosis present? |
5 | Is the cornea involved? |
6 | Does the patient use contact lenses, have a previous cold, or recently has experienced ocular trauma? |
7 | Which systemic conditions does the patient have, and which medications do they use? |
In a contact lens practice, it is common to find red eye that is associated with dry eye, allergies, and contact lens overwear. However, there are other uncommon causes that clinicians should consider when their patients present with either unilateral or bilateral injection. This article will discuss four rare, yet important, etiologies of a red eye.
SUPERIOR LIMBIC KERATOCONJUNCTIVITIS
Clinical Case A 50-year-old female presented with a complaint of acute onset irritation, a feeling of “sand in her eyes,” and mucous discharge from her right eye. She reported using artificial tears with no relief. She is a multifocal contact lens wearer; however, she reported no overwear or sleeping in her lenses. Medical history was consistent with high cholesterol treated with atorvastatin. Visual acuity, pupils, confrontation fields, and extraocular muscles (EOMs) were unremarkable. Slit lamp examination of the right eye revealed superior bulbar hyperemia and, with the lids flipped, papillae and 3+ hypertrophy.
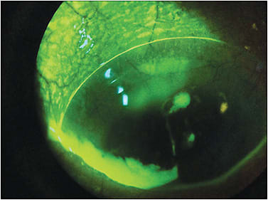
Superior limbic keratoconjunctivitis (SLK, a.k.a. SLK of Theodore) is a rare disorder characterized by superior conjunctival injection (Figure 1). Three distinctive characteristics of the disorder are superior bulbar injection, superior papillary hypertrophy, and adjacent corneal epithelial keratitis.

Many studies indicate that the condition arises from blink-related mechanical trauma due to increased laxity in the upper lid.2 In the past, SLK was referred to as thimerosal keratoconjunctivitis due to its association with thimerosal in contact lens solutions. Notably, from 1989 to 1992, the prevalence of SLK declined from 17.6% to 8.6% as thimerosal was gradually eliminated as a preservative from contact lens solutions due to its adverse effects.3
The condition occurs more commonly in females, for whom it is also more severe than for males. The average age of SLK diagnosis is 50 years; however, children and the elderly are also susceptible.4 The most important systemic association of SLK is thyroid disease; in fact, 50% of SLK patients have thyroid disease, typically hyperthyroidism.5
Similar to dry eye syndrome, typical SLK patients will present with intermittent foreign body sensation, mucous discharge, photophobia, and frequent blinking.2 Mild pain or a generalized irritation may be present as well; however, the condition does not generally affect visual acuity.4
A diagnostic workup should include a detailed slit lamp examination to identify the localized hyperemia and inflammation, which has an equal likelihood of affecting one or both eyes of the afflicted patient. The disorder can be hidden until patients are directed to look downward and the upper lid is raised. Practitioners can also stain the superior conjunctiva with rose bengal or lissamine green to highlight a papillary band of hypertrophy.
Due to the recurring nature of the disorder, treatment options vary based on duration and severity of symptoms. Although there is no current accepted standard of care in treatment, moderate SLK patients may be treated with copious preservative-free artificial tears. Other effective therapy options are cyclosporine A, cromolyn sodium 4%, autologous serum, and vitamin A.6 Silver nitrate 0.5% to 1% can also be applied to the superior bulbar conjunctiva following a local anesthetic to cauterize the tissue and promote regrowth of healthy epithelium. A recent study in 2014 by Takahashi et al found that rebamipide 0.5%, a quinolone derivative that increases mucin production and reduces inflammation, was effective as a first-line therapy for patients who have concomitant SLK and thyroid eye disease.7 In severe cases, surgical resection can be employed. SLK prognosis is typically positive, with most patients undergoing spontaneous remission and no long-term loss of vision unless due to over-treatment.4
Clinical Pearls SLK is typically a condition that affects middle-aged females. Strongly consider abnormal thyroid function in patients diagnosed with this condition.
EPISCLERITIS
Clinical Case A 30-year-old female presented with a complaint of redness in her left eye for the past day. She reported waking up with the redness and a feeling of moderate tenderness, with no itching, discharge, or pain. She is a swimmer; however, she recalled wearing goggles during her swim meet over the weekend. Visual acuity, pupils, confrontation fields, and EOMs were normal. A review of systems was unremarkable, and the patient’s only habitual medication is a daily multivitamin prescribed by her primary care physician. Slit lamp examination revealed a sectoral, nasal area of injection in the left eye with no corneal staining or subepithelial infiltrates present.
Episcleritis is inflammation of the episclera, the thin, vascularized tissue lying between the sclera and the conjunctiva.8 Presentation can be simple or nodular. The simple form is more common and affects 75% of patients (Figure 2). Simple episcleritis can further be subcategorized as diffuse or sectoral injection. In contrast, patients who have nodular episcleritis present with a yellow, moveable nodule in the area of injection, and this type is typically longer lasting, more painful, and linked to systemic disease (Figure 3).


Most episcleritis patients present with unilateral sectoral redness.5 One particular study reported that of patients diagnosed with episcleritis, 70% were female, 83% were Caucasian, and the disease is rare in children.8
The typical presenting complaint is acute tenderness or pain in the affected eye, with no discharge and no change in vision. Diagnosis is based on a thorough patient history and detailed slit lamp examination, with particular care to check for cells and flare linked to iritis, copious mucous discharge that would signify bacterial infection, and staining of the cornea to identify an ulcer, abrasion, or subepithelial infiltrates.
Although the majority of cases are idiopathic, 26% to 36% of patients who develop episcleritis do have an underlying autoimmune disorder, most commonly rheumatoid arthritis, but also vasculitis, inflammatory bowel disease, and systemic lupus erythematosus.9 It is important to consider autoimmune conditions for all patients who present with episcleritis. Treatment for this typically benign condition consists of cool artificial tears or a mild topical steroid for more severe cases. Systemic steroids or nonsteroidal anti-inflammatory drugs (NSAIDs) are not typically indicated. A study by Jabs et al found that among a subset of patients, 16.7% spontaneously recovered with no treatment, 50% required topical corticosteroids, and 16.7% required systemic NSAIDs.9
An important consideration with any suspected episcleritis patient is to rule out scleritis, which is deep inflammation of the scleral vessels. To do so, place a drop of phenylephrine 2.5% in the suspect eye. If the superficial vessels are blanched 10 to 15 minutes later, a diagnosis of episcleritis is more likely.5
Although rare, episcleritis can also advance to scleritis and should be monitored for progression if it does not resolve within two weeks.10 Scleritis can be a precursor to sight- or life-threatening complications due to association with autoimmune disorders in 40% to 50% of cases.9 Overall, the prognosis for episcleritis is favorable, with most cases resolving spontaneously and without ocular sequelae.
Clinical Pearls It is essential to differentiate between episcleritis and scleritis. Episcleritis is typically idiopathic, benign, and self-limiting. However, scleritis can be a sight and life-threatening disorder if practitioners do not diagnose and treat it properly. Physicians should also consider a systemic autoimmune disorder if episcleritis is persistent or recurrent.
OCULAR MEDICAMENTOSA
Clinical Case A 40-year-old male presented with a complaint of diffuse redness, discomfort, and irritation in his right eye for three days. He stated that no matter how many eye drops he used, the redness would not subside. Systemic history was unremarkable, and entrance tests revealed normal visual acuity, pupils, confrontation fields, and EOMs. Slit lamp examination revealed diffuse conjunctival injection in the right eye, with no corneal involvement or papillary reaction.
Medicamentosa is a chemical irritation or a delayed hypersensitivity reaction that can occur on the ocular surface due to topically applied drugs or chemicals. This reaction is a type IV T-cell mediated response, and symptoms can appear days, months, or years after the initial exposure.11 Ocular medicamentosa can result from instillation of phenylephrine and other preservative-containing ophthalmic solutions. However, the most common ocular drops causing this reaction are alpha-adrenergic agents such as naphazoline and tetrahydrozoline that are found in common over-the-counter redness relieving agents.
The “rebound” vasodilation results after the offending agent has been used repeatedly. Two mechanisms can cause this reaction: 1) Tachyphylaxis, caused by the efficacy of the medication decreasing after prolonged use; or 2) Vasodilation as a response to tissue ischemia from the vasoconstriction.12 According to Sindt,11 the condition can be difficult to diagnose because the symptoms are similar to those of typical dry eye patients: grittiness, foreign body sensation, and irritation. Further symptoms can include epiphora, itching, or pain.
Upon physical examination, the most common clinical picture of this disorder is conjunctival hyperemia. Follicular conjunctivitis and blepharoconjunctivitis are the next most common, respectively.12 Thus, as expected, slit lamp examination will reveal diffuse hyperemia in eyes that have been exposed to the irritant. Severe cases could also result in corneal edema, corneal or conjunctival staining, or pseudodendrites.11
An essential aspect of medicamentosa is proper patient history, which can reveal improper vasoconstrictor usage. Consequently, treatment includes both discontinuing the offending agent and treating the side effects from overuse. This requires a short dose of topical corticosteroids as well as copious application of artificial tears. The inflammation can take weeks to resolve, most commonly a median of four weeks.12
Correlation has also been found between the duration of usage and how long it takes for symptoms to resolve (i.e., the longer a patient uses the agent, the longer it takes to recover from the ocular inflammation). Overall, the prognosis for ocular medicamentosa is favorable, especially if patients promptly discontinue use of the offending agent and begin therapy to counter the side effects.
Clinical Pearls Always ask patients which over-the-counter drops they use and how often they use them. If possible, ask patients to bring the bottle with them to the office, as they can confuse redness-relieving drops with artificial tears and are unaware of overuse consequences.
MUCUS FISHING SYNDROME
Clinical Case A 35-year-old female presented to our clinic for a well examination with no ocular complaints. Visual acuity, confrontation fields, EOMs, and pupils were unremarkable. Slit lamp examination revealed a mildly hyperemic conjunctival surface with mucus present in the inferior fornix. Upon further questioning, the patient revealed a past history of dry eye and ocular irritation, with failed treatments. She claimed that the drops that she was prescribed never resolved her consistent mucus production and irritation.
Mucus fishing syndrome (MFS) is a cyclitic syndrome of patients who have ocular irritation and who digitally extract mucous strands from the conjunctiva (Figure 4). The original source of ocular irritation and mucus production can be allergy, blepharitis, or dry eye.13 Patients who then continue to extract the mucus cause an allergen response, thus creating more mucus and resulting in more “fishing.” Two distinct characteristics must be present to diagnose MFS: a history of mucus production and its removal from the surface, and objective staining with rose bengal that correlates to the area where mucus has been digitally expressed.13 The ocular sequelae are two-fold as well. They result from the mucus that irritates the eye and also can potentially occlude the cornea, obscuring vision. They also arise from patients damaging the ocular surface from their continual mucus extraction. Symptoms of this syndrome can be itching, foreign body sensation, burning, and mild discomfort. This also depends on the underlying cause of the mucus production.

Diagnosis can be made with a thorough slit lamp examination, which will reveal mucus typically isolated in the inferior fornix. Conjunctival injection will be present in the areas in which the patient has digitally manipulated the ocular surface. Rose bengal staining should be performed to isolate the areas that have become inflamed.
Ultimately, clinicians should identify the underlying cause of mucus production and treat this condition aggressively. Patients should be educated to avoid touching the ocular surface. N-acetylcysteine 10%, a mucolytic agent, can be used off-label to reduce mucus production. The dosing is typically four times a day for 1 month, then tapered afterward.
Prognosis for MFS is good. However, patients must be educated properly and must remain compliant with their treatment plan.
Clinical Pearls Mucus fishing syndrome results from an underlying condition that must be treated for the mucus production to subside. Remind patients to discontinue the “fishing” during their course of treatment.
SUMMARY
Conjunctival injection is a soft physical finding and only one piece of the puzzle. When faced with hyperemia, it is essential to delve deeper and consider other factors to reach the proper diagnosis.
As a contact lens practitioner in our fast-paced digital age, it is difficult to avoid dry eye and ocular irritation. However, remember to consider other causes for conjunctival injection when evaluating a patient. This is important to avoid incorrect diagnoses, which would prolong the inflammatory process. CLS
REFERENCES
- Baudouin C, Barton K, Cucherat M, Traverso C. The measurement of conjunctival hyperemia: pitfalls and challenges. Eur J Opthalmol. 2015 Jul-Aug;25:273-279.
- Kanski JJ, Bowling B. Synopsis of Clinical Ophthalmology. New York: Saunders Ltd. 2012 Dec 18.
- Efron N. Contact Lens Complications. St. Louis: Saunders. 2012 June 29.
- Wilson FM 2nd, Ostler HB. Superior Limbic Keratoconjunctivitis. Int Ophthalmol Clin. 1986 Winter;26:99-112.
- Ehlers P, Shah C, eds. Wills Eye Manual: Office and Emergency Room Diagnosis and Treatment of Eye Disease. Baltimore: Lippincott Williams & Wilkins. 2008 Feb 20.
- Azari AA, Rapuano CJ. Autologous serum eye drops for the treatment of ocular surface disease. Eye Contact Lens. 2015 May;41:133-140.
- Takahashi Y, Ichinose A, Kakizaki H. Topical rebamipide treatment for superior limbic keratoconjunctivitis in patients with thyroid eye disease. Am J Ophthalmol. 2014 Apr;157:807-812.
- Diaz JD, Sobol EK, Gritz DC. Treatment and management of scleral disorders. Surv Ophthalmol. 2016 Nov-Dec;61:702-717.
- Jabs DA, Mudun A, Dunn JP, Marsh MJ. Episcleritis and Scleritis: Clinical Features and Treatment Results. Am J Opthalmol. 2000 Oct;130:469-476.
- Chen YW, Poon YC, Yu HJ, Kuo MT, Fan PC. Experience of scleritis and episcleritis at a tertiary center in southern Taiwan. Taiwan J Ophthalmol. 2015 Jan-Mar;5:19-22.
- Sindt CW. Addicted to Oxy. Rev Cornea Contact Lenses. 2013 May 15; 15:11. Available at http://www.reviewofcontactlenses.com/content/c/40950 . Accessed on Nov. 13, 2017.
- Soparkar CN, Wilhelmus KR, Koch DD, Wallace GW, Jones D. Acute and chronic conjunctivitis due to over-the-counter ophthalmic decongestants. Arch Opthalmol. 1997 Jan;115:34-38.
- Ajamian PC. Gone Fishin’. Rev Optom. 2010 Dec 27;1:57. Available at https://www.reviewofoptometry.com/article/gone-fishin . Accessed on Nov. 13, 2017.