
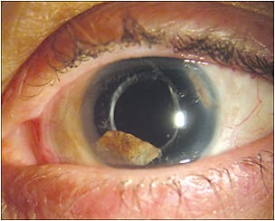
This photograph shows the left eye of a 62-year-old female patient who suffered a ruptured globe secondary to trauma. The patient was previously managed for glaucoma. Prior to the trauma, she had recent cataract surgery and photorefractive keratectomy (PRK) surgery that resulted in 20/20 vision OU. Currently, her best-corrected visual acuity is OS 20/40, but she complains of multiple images. Corneal topography shows minimal irregularity of her left eye.
The patient’s primary visual issue was secondary to aniridia. She was fit with a computer-generated prosthetic soft contact lens in parameters of 8.5mm base curve, 14.0mm diameter, 12mm iris with a 3.5mm open pupil, and plano power (Figure 2). The color of the prosthetic iris was chosen to best match her right eye. The lens centered well, and the patient’s vision measured 20/40 OS. She was instructed on daily wear using a hydrogen peroxide care system for overnight cleaning and disinfection.
Prosthetic soft contact lenses can subjectively help patients who have aniridia, relieving symptoms of photophobia, glare, and reduced vision. It is important that the lens have a black backing to eliminate extra-pupillary light, which can result in significant aberrations that affect vision quality. Hand-painted prosthetic soft contact lenses are sometimes necessary if a proper color match is unsuccessful with printed prosthetics.


