EDITED BY CHAD ROSEN, OD, MBA

LEARNING METHOD AND MEDIUM
This educational activity consists of a written article and 20 study questions. The participant should, in order, read the Activity Description listed at the beginning of this activity, read the material, answer all questions in the post test, and then complete the Activity Evaluation/Credit Request form. To receive credit for this activity, please follow the instructions provided below in the section titled To Obtain CE Credit. This educational activity should take a maximum of 2 hours to complete.
CONTENT SOURCE
This continuing education (CE) activity captures key statistics and insights from contributing faculty.
ACTIVITY DESCRIPTION
The goal of this article is to better eyecare professionals’ understanding of scleral lenses by listing the most common fitting challenges practitioners face and a solution for each one. A review of the literature will provide the reader with an improved understanding of various instrumentation, scleral lens prescriptions, and fitting techniques.
TARGET AUDIENCE
This educational activity is intended for optometrists, contact lens specialists, and other eyecare professionals.
ACCREDITATION DESIGNATION STATEMENT
This course is COPE approved for 2 hours of CE credit.
COPE Course ID: 70490-CL
DISCLOSURES
Daddi Fadel, DOPTOM, has received honorarium from Soleko.
Chad Rosen, OD, MBA, editor of the continuing education series, reports no conflicts of interest.
DISCLOSURE ATTESTATION
The contributing faculty member has attested to the following:
- That the relationships/affiliations noted will not bias or otherwise influence her involvement in this activity;
- That practice recommendations given relevant to the companies with whom she has relationships/affiliations will be supported by the best available evidence or, absent evidence, will be consistent with generally accepted medical practice;
- That all reasonable clinical alternatives will be discussed when making practice recommendations.
TO OBTAIN CE CREDIT
To obtain COPE CE credit for this activity, read the material in its entirety, and consult referenced sources as necessary. We offer instant certificate processing for COPE credit. Please take the post test and evaluation online by using your OE tracker number and logging in to clspectrumce.com .
Upon passing the test, you will immediately receive a printable, PDF version of your course certificate for COPE credit. On the last day of the month, all course results will be forwarded to ARBO with your OE tracker number and your records will be updated. You must score 70% or higher to receive credit for this activity. Please make sure you take the online post test and evaluation on a device that has printing capabilities.
NO-FEE CONTINUING EDUCATION
There are no fees for participating in and receiving credit for this CE activity.
DISCLAIMER
The views and opinions expressed in this educational activity are those of the faculty and do not necessarily represent the views of Michigan College of Optometry or Contact Lens Spectrum. This activity is copyrighted to PentaVision LLC ©2021. All rights reserved.
This continuing education activity is supported by unrestricted grants from ABB Optical Group and BostonSight.
CE Questions? Contact CE@pentavisionmedia.com for help.
RELEASE DATE: FEBRUARY 1, 2021
EXPIRATION DATE: DECEMBER 14, 2023
To view this CE activity in its entirety and proceed to the test, visit clspectrumce.com
Despite the advancement in technology to assess the ocular surface profile and to improve scleral lens (SL) designs and materials, some unique challenges related to SL fit and wear still occur,1 and current literature still shows a lack of their descriptions and management strategies. This article discusses five clinically significant fitting challenges, providing indications for how to prevent and ultimately treat them when they ensue.
1) CONJUNCTIVAL IRREGULARITIES
Conjunctival irregularities represent a significant challenge when fitting SLs and require additional time for lens modifications to reach an optimal fitting, adding frustration and costs for both practitioner and patient. Conjunctival irregularities include pingueculas, pterygia, symblepharon, hypertrophy, nodules, glaucoma drainage device, and blebs.
Pinguecula Pingueculas are common and may complicate the SL fitting process, as the lens does not conform to the conjunctival profile and its irregularities. It is important to assess the location and elevation of the irregularity to prevent issues during the fitting.
When a pinguecula is far from the limbus, small SLs are indicated to avoid interaction between the lens edge and the irregularity. When the pinguecula is of low elevation and is close to the limbus, large SLs that slightly compress the irregularity are suggested; flattening the horizontal meridian in these cases may be indicated (Figure 1). When the SL edge indents in the pinguecula or the pinguecula has a significantly high elevation, the lens design should be modified. Increasing the vault diameter (corneal and limbal zone diameter) may be helpful to clear the conjunctival elevation completely. Generally, the vault diameter is increased by at least 3mm to 4mm. Adding a notch or including a local area of an increased vault may be beneficial. This modification requires a lens to be rotationally stable on the eye, which may be achieved with dual thin zones, prism-ballast, double slab-off, or peripheral back-surface toricity. If peripheral back-surface toricity is included, it is crucial to assess scleral toricity and to individuate the axis of lens rotation. Then, it is necessary to indicate the position and depth of the pinguecula. Once this information is collected, it is necessary to communicate it to the laboratory to accurately incorporate the notch or to include the localized peripheral vault. Profilometry with the use of specific software is highly recommended to design a customized lens periphery. An impression technique can be an optimal option, as well.

Pterygium and Symblepharon The presence of a pterygium or symblepharon represents a unique challenge when fitting SLs, as they cover a significant area of the conjunctiva, extending over the limbus and the cornea (Figure 2). Like pingueculas, mechanical friction on a pterygium or symblepharon causes tissue inflammation and fitting issues. In these cases, customized SLs or impression techniques are ideal options.

Hypertrophy and Nodules A conjunctival nodule is an elevated area in the conjunctiva that is relatively common. Conjunctival hypertrophy is an early sign of the expansion of a conjunctival nodule, and it is characterized by an enlargement of the conjunctival cells caused by chronic trauma or damage to the cells. It may represent an area of a potential lens impingement. Lens compression on these irregularities should be minimized, as it may lead to the advancement of the condition and cause conjunctival swelling, hyperemia, discomfort, and reduced wearing time.2
When hypertrophy and nodules are located in the conjunctival periphery, a small SL that does not interfere with the irregularity is indicated. A quadrant-specific design may be incorporated to steepen the quadrant where the hypertrophy or nodule are located to vault over the irregularity. A notch, local area of an increased vault, customized SL, or impression technique will minimize the interaction with these conjunctival irregularities. If the lens edge is close to the nodule, it is necessary to remove the SL carefully. After applying a lubricating solution, the plunger needs to be positioned at the lens edge adjacent to the nodule to lift the lens, avoiding touching the nodule.2
In patients who are predisposed to developing conjunctival hypertrophy or nodules, artificial tears containing hyaluronic acid may help prevent these conditions, because these eye drops act as a cushion between the lens and the ocular surface.2
Glaucoma Drainage Devices The position of the glaucoma drainage device varies according to the surgeon and the ocular anatomy. A drainage device may create problems if it comes in contact with the SL, which can block the underlying shunt, altering the function of the device3 (Figure 3). In some cases, the lens may provoke erosion of the conjunctiva overlying the tube, requiring surgical revision.3,4

The SL diameter should be decreased (14.00mm to 15.00mm) to avoid touching the device. Creating a notch or an area of increased elevation can help to resolve these issues. Customized or molded SLs are an ideal management strategy. It is fundamental to communicate with the glaucoma specialist to ensure that the eye is rehabilitated and can be fitted with an SL and to closely monitor the intraocular pressure (IOP) when the patient is wearing the lenses.
Blebs Conjunctival blebs result in a drainage route, which allows for the aqueous humor drainage from the anterior chamber into the subconjunctiva.5 The location and elevation of this irregularity vary among patients and with the type of surgery. When there are drainage devices, SLs should be fitted with caution. The lens compressing the bleb may lead to a reduction in its functionality, resulting in increased IOP. When the bleb is adjacent to the limbus, the interaction between the lens and the bleb can generate tissue erosion and bleb leakage.
An SL of small diameter, a notch, a localized area of vault, a customized SL, or impression technique may prevent these issues.
2) EXCESSIVE CLEARANCE IN THE INFERIOR CORNEAL-LIMBAL AREA
Excessive clearance inferiorly (Figure 4) may cause debris entrance into the fluid reservoir, conjunctival prolapse, lens decentration, stem cell breakdown, and discomfort. This issue may be due to an excessive limbal vault or to fitting a spherical lens on a significantly elliptical limbus or toric cornea.

Excessive Limbal Vault Limbal vault depends on ocular surface conditions and lens diameter. Generally, in SLs with a diameter up to 16.50mm, the limbal vault may be about 60µm to 80µm. For larger lenses, the limbal vault may be approximately 80µm to 120µm. Excessive clearance in the limbal area may also be the result of excessive vault diameter. The lens should start landing at 1mm to 2mm from the horizontal visible iris diameter (HVID). Landing farther from this may compromise the lens fit. Thus, when excessive clearance is created inferiorly, it is necessary to reduce the lens sagittal height in the limbal area and/or to decrease the vault diameter.
Oval Limbus Generally, HVID is 11.7mm, while the vertical visible iris diameter (VVID) is 10.6mm on average. These values may be about 0.1mm less in females.3,6 When fitting a spherical SL on a patient who has a prominent oval limbus, the lens will land close to the limbus in the horizontal meridian and far from the limbus in the vertical meridian, creating a large amount of limbal clearance inferiorly. On the other hand, reducing the vault diameter, the lens will land close to the limbus inferiorly but will touch the limbus and the peripheral cornea in the horizontal meridian. An SL touching the peripheral cornea and limbus will cause microcysts and bullae.6
For an equal clearance distribution in the corneal and limbal areas, SLs may be designed with an elliptical shape, having different corneal and limbal zone widths in the 90º and 180º meridians. Two designs of elliptical SLs are reported in the literature.7
The SL may be overall elliptical, with vertical dia-meters corresponding to the different visible iris diameters, HVID and VVID, using the following formula in which TDH is the horizontal total diameter of the SL; TDV is the vertical total diameter of the SL; limbal ZW is the limbal zone width; LZW is the landing zone width; LPZW is the last peripheral zone width:
TDH = HVID + limbal ZW (x2) + LZW (x2) + LPZW (x2)
TDV = VVID + limbal ZW (x2) + LZW (x2) + LPZW (x2)
In this lens design, the VID is the only parameter with a different value in the two meridians. All of the individual outer widths have the same value in the two meridians, resulting in an oval lens.7
The second design consists of an SL in which only the corneal and limbal zones are oval:
TDH = HVID + limbal ZW (x2) + LZWH (x2) + LPZW (x2)
TDV = VVID + limbal ZW (x2) + LZDV + LPZW (x2)
Here, LZDV is the vertical landing zone diameter, and it is in relation to the horizontal landing zone diameter (LZDH):
LZDV = LZDH + (HVID – VVID)
(Where LZDH = LZWH x 2)
In this lens design, the corneal and the limbal zones are oval because they follow the limbal shape, and the landing zone compensates for the oval shape of these two internal zones. The limbal and the last peripheral zone width values remain the same in the two meridians, while the VID and LZD values are different.
Therefore, it is crucial to measure both HVID and VVID before fitting SLs to prevent excessive clearance in the inferior area.
Toric Cornea Generally, when customizing an SL, the landing zone is the area that is designed to match the underlying ocular surface, because the SL lands exclusively on the sclera. However, a non-uniform clearance in cases of high corneal toricity or asymmetry may compromise the fitting success. In patients who have high with-the-rule corneal astigmatism, the cornea is significantly less elevated in the vertical meridian, leading to excessive clearance in the inferior limbal area (Figure 5). A toric or quadrant-specific design in the corneal and limbal areas is needed to better distribute the corneal and limbal clearance. Therefore, performing corneal topography before starting SL fitting is crucial to predict excessive clearance with pooling inferiorly and, consequently, to determine whether the SL requires toric or spherical corneal and limbal zones.

When an SL has both toric and elliptical corneal and the limbal zones, the lens at this point exhibits a hyperbolic paraboloid shape. A hyperbolic paraboloid surface is when there is a higher elevation in the vertical meridian than in the horizontal meridian7-10 (Figure 6).

3) SCLERAL LENSES IN POST-KERATOPLASTY CORNEAS
When fitting SLs in post-keratoplasty corneas, the major complications of concern are edema, vascularization, and graft rejection.
Cornea Edema Studies have demonstrated an increased rate of endothelial cell loss in transplanted corneas.11-14 Although several reports showed successful fitting of SLs in patients who have corneal transplants,15-17 there is a lack of research reporting the effect of SL wear on the corneal endothelium. A minimum of 400 cells/mm2 to 700 cells/mm2 is required to ensure corneal health and transparency.18 Thus, before fitting SLs, careful documentation and baseline measurement are essential. A repeated pachymetry is necessary to detect corneal swelling before revealing clinical signs at the biomicroscope.
In compromised transplanted corneas, grafts should also be assessed with sodium fluorescein to verify the presence of any pre-existing abnormalities, such as edema, compromised endothelial function, or corneal staining. If an SL is fitted, an evaluation is recommended after 4 to 6 hours to evaluate adverse events.
A thinner lens and a reduced tear reservoir thickness are indicated to optimize oxygen supply to the cornea. Altering the toricity of the posterior peripheral surface can create tear exchange, allowing oxygenated tears to enter the reservoir. When edema occurs, fenestrations or peripheral channels may increase tear exchange and maintain corneal metabolism. A reduced wearing time may be indicated if edema persists. The use of hypertonic saline (5% NaCl) may accelerate corneal recovery from hypoxic events.19
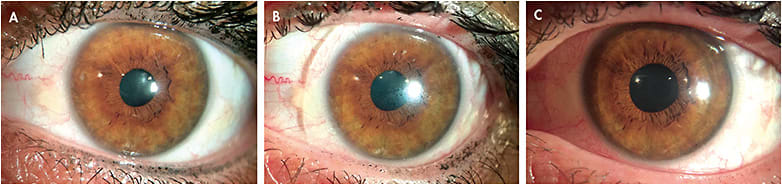
Vascularization Vascularization is a concern when fitting SLs in post-keratoplasty corneas because the vessels may invade the transplant and compromise its survival (Figure 7). Photodocumentation of the baseline condition is crucial because many patients who have a corneal transplant may present slight vascularization—mainly in the host rim—before wearing SLs. Mild host rim vascularization may be considered normal; however, it may be an alarm when it extends toward the graft/host interface and continues into the cornea.

Considering that vascularization is caused by chronic hypoxia, it is fundamental to optimize oxygen intake to the cornea by choosing high-Dk lens materials and by reducing the SL and tear reservoir thickness. Increasing tear exchange is beneficial to corneal metabolism and can be accomplished by altering the lens back-surface toricity and by introducing fenestrations and/or peripheral channels to the lens.
Clinicians should ensure that the lens is not tightly fitted and does not cause mechanical irritation or chronic trauma in the corneal and limbal areas, because these episodes may trigger vascularization.2 A strict collaboration with the corneal specialist is fundamental, as 35% of penetrating keratoplasty corneas may develop rejection episodes and need to be treated with steroids.2
Graft Rejection After keratoplasty, graft rejection—whether epithelial, subepithelial, or endothelial—may occur with or without contact lenses.17,20,21 While there is no evident correlation between graft rejection and contact lens use, their wear may cause corneal hypoxia, microtrauma, epithelial erosions,17 vascularization,2 and toxicity from preservatives in rigid contact lens solutions, all compromising corneal graft health and triggering chronic ocular surface inflammation.17 The chronic inflammation may, in turn, provoke graft rejection and graft decline.17 Thus, graft rejection remains the major complication of concern when fitting post-keratoplasty corneas.
The graft should be assessed thoroughly to verify an active rejection. If it is observed, it should be adequately managed before the fitting process. If SLs are fitted, careful follow-up visits are needed to identify earlier signs of graft rejection, which include some or all of the following: ocular redness, ciliary redness, photophobia, decreased visual acuity, epithelial rejection line (rare), corneal edema, subepithelial and/or stromal infiltrates, corneal vascularization, keratic precipitates on the graft (but not on the peripheral host cornea), and a Khodadoust line (deposition of killer lymphocytes) on the endothelium.2
Patients who have vascularization, low endothelial cell density, and a history of an inflammatory ocular condition, such as herpes simplex virus, should be closely monitored, as these conditions represent a high risk of graft rejection. Oxygen transmissibility to the cornea should be optimized to avoid chronic hypoxia. Tight lenses, lens adhesion, and incompatible solutions used to fill the lenses may contribute to inflammation. Managing the fitting issues and prescribing an adequate filling solution are essential. Avoiding corneal mechanical stress by fitting a lens that sufficiently vaults the corneal and limbal areas prevents trauma that may compromise the graft survival.
When rejection occurs, SL wear should be discontinued. Once the rejection episode is over, SLs may be reconsidered, managing the lens wear factors that have contributed to this complication. Comanagement with the surgeon is crucial, and topical steroids, antibiotics, and/or oral immune suppressants may all be prescribed.
4) NEUROPATHIC PAIN
Neuropathic pain is pain resulting from injury or dysfunction of the somatosensory system.22 It is a relatively rare condition, and it consists of persistent pain in correspondence with the area supplied by the trigeminal nerve.23 Although it may affect both men and women, women have a higher risk. Often the cause is apparent, but sometimes it cannot be found.23 Several studies have associated dry eye disease (DED) with eye pain and corneal hyperesthesia.24-31 Rosenthal et al.31,32 described the corneal pain system concept in the context of neuropathic pain associated with DED.
The reason may be elevated levels of proinflammatory cytokines in non-hypertonic tears in dry eye patients, and the cause may be neuroinflammation provoked by prolonged periods of corneal nociceptor hyperactivity, as has been shown in other tissues.31-33 Rosenthal et al. have also proposed that poorly explained chronic dry eye symptoms are consequences of increased corneal sensitivity to tear evaporation caused by non-identified malfunctions in the dry eye alarm system.31,34,35 Because SLs block tear evaporation, chronic DED is suppressed when wearing the lenses.
The benefits of SLs in dry eye disease are largely documented, showing consistently improved comfort, visual function, and quality of life.36 The Tear Film and Ocular Surface Society’s Dry Eye Workshop (DEWS) II proposed SLs in the third step of the management algorithm.37 This indicates that SLs may be used when other management strategies in the earlier steps fail, or concurrently with the other therapies, including ocular lubricants, eyelid hygiene, punctal occlusion, prescription medications, and autologous serum.37
Another factor to consider in patients who have neuropathic pain is that contact lens wear triggers eyelid pain, as the eyes appear to be hypersensitive to mechanical stimuli—a phenomenon known as secondary hyperalgesia.2 A SL of a diameter larger than 19mm that reduces the interaction between the eyelids and the lens edge may be indicated. However, lens intolerance may be an insuperable challenge in these cases.
5) PATIENTS’ EXPECTATIONS AND EDUCATION
Patients who have high or unrealistic expectations, difficulties with lens handling, and poor compliance represent a meaningful challenge when fitting SLs.
Patients’ Expectations A correct selection of patients is crucial for SL fitting success. A good candidate for SLs can be identified based on the ocular surface condition, clinical history, and patient expectations. Patients’ expectations vary from doubtful to unrealistically optimistic. Patients who have unrealistic expectations are more likely to have compromised overall satisfaction after wearing SLs, leading them to abandon their wear. Some patients may request SLs for conditions that may not benefit from their use, and these patients are extremely disappointed after their application.
Therefore, it is essential to assess the eye condition and patients’ expectations, and to clarify the limitations and challenges of SLs before starting the fitting process.
Lens Handling Several studies have reported the common reason for abandoning SL wear to be difficulty with application and removal.34-40 SL handling challenges may be due to the larger size and increased risk of breaking the lens from incorrect handling.38
However, Kornberg46 studied difficulty and time with application and removal and found that daily application and removal was not a laborious process. Most patients reported very low subjective difficulty scores with application and removal and took less than 5 minutes to handle the lens after the first week of the fitting, and all of the patients were successful with application and removal by the fifth week. Also, application and removal times did not differ by age or diagnosis type. This study dispelled the belief that handling issues would be less difficult for younger patients and confirmed that primary diagnosis does not affect the ease of use.46 Bhattacharya et al.38 researched the care and handling experience in India and found that patients reported minimal handling-related difficulties. Most patients found application and removal straightforward. Difficulty in application occurred mainly with patients who had impaired vision. Challenges with removal were due to lens plunger positioning. This study concluded that more training is recommended for patients having difficulty with handling.38
Because application and removal seem to be an achievable goal over time, training sessions over multiple visits may be needed to prevent SL wear abandonment and complications. Patients struggling with handling can be identified early in the training process. In these cases, training could be provided with multiple visits and broken down into two or three sections, with the application technique during the first session, the removal technique at the second session, and the option of a third session of review and care system training.
Some patients may require additional sessions to achieve confidence in handling SLs. The workstation for patients’ education may be prepared with two mirrors, a flat and a vertical mirror (Figure 8). A flat mirror is useful for patients for fixation and for continuing to lean the chin to the chest. The two flat and vertical mirrors allow clinicians to monitor the patient during lens handling and to correct them if there are any errors.

Several devices are available for lens handling if patients have difficulties with using manual methods.47 When using a device for lens removal, it is crucial to position the plunger in the lens periphery near the edge to prevent ocular trauma. Following are some tips for easier lens removal:
- Wet the device and lubricate the eye with a nonpreserved solution before lens removal.
- Press below the lens edge or rotate the lens on the eye to break the suction, allowing a bubble to form under the lens to loosen the fit before removal.
- Place the plunger where the lens is slightly lifted. Generally, patients are told to position the device in the inferior area, and this is an ideal position if the sclera has with-the-rule toricity because the lens is usually slightly lifted in the vertical meridian. However, if the sclera has an against-the-ruler toricity, positioning the plunger in the vertical meridian, where the lens is fitted steeper, may make lens removal more difficult. Therefore, when the sclera has an against-the-rule toricity, patients should position the plunger in the horizontal meridian. If scleral toricity is oblique, individuate the meridian where the lens is slightly lifted off to place the plunger.
Compliance Failure with compliance may be due to a lack of time dedicated to patients and insufficient information and instructions regarding basic hygiene rules and contact lens care. Thus, it is fundamental that patients understand the different care solutions’ utility and all clinicians’ recommendations to minimize and avoid adverse events.48
Patients who are aware of risk factors are more likely to be compliant.49 Regrettably, clinicians may not dedicate enough time to achieve these tasks by communicating with patients. Dialogue with patients may increase empathy, level of collaboration, and compliance.50 This discussion is essential with SL wearers because of the ocular conditions affecting their psychology.
A recent survey showed that cultivating a relationship with patients that focuses on empathy, positive talk, psychological aspects, emotions, and patient-centered communication improves clinicians’ performance and quality of care.51 In instances in which patients did not recommend their practitioner to others, the practitioners spoke more than patients did and did not listen to patients’ needs.
A model of empathic communication will help all clinicians in SL daily practice.51 In turn, fitting rate success and overall patient satisfaction will rise, and the risk of infection, dropout, and patient disappointment will decrease.
Providing written recommendations and brochures that illustrate the different care procedures will help patients remember the indications provided during the education session. To further increase compliance, it is necessary to verify and reinforce the instructions during follow-up visits.50
CONCLUSION
Some challenges are unique to SL wear, and a variety of them are of concern, especially due to the lack of reports on these conditions and indications on their management strategies. Baseline assessments and photodocumentation are essential to identify pre-existing ocular conditions and to monitor changes over time. It is necessary to understand the SL design and fitting parameters to better manage fitting issues.
Conjunctival irregularities may be managed by changing the lens diameter—small lenses when the irregularities are far from the limbus, and large-diameter lenses when the irregularities are proximal to the limbus. In these cases, a notch or localized peripheral vault may be indicated. Generally, customized SLs and impression techniques are ideal alternatives. Excessive clearance in the inferior limbal area leads to several challenging issues. An elliptical SL and toric limbal and corneal zones may prevent this condition.
When fitting SLs in post-keratoplasty corneas, hypoxia and lens mechanical friction may be responsible for edema, vascularization, and graft rejection. To improve the oxygen delivery to the cornea, it is essential to choose lenses with high-Dk materials, reduce the lens and fluid reservoir thickness, and increase tear exchange by altering the lens peripheral toricity or by adding fenestrations or peripheral channels. Corneal mechanical friction and trauma should be avoided. An adequate corneal and limbal vault is necessary.
Careful follow-up visits and good communication with corneal or medical specialists are essential to avoid complications and to ensure a successful fitting. This may also lead to increased awareness regarding SLs as an optimal alternative to surgical interventions.
Equally important is establishing a close relationship with the lens manufacturing laboratory consultants. Dedicating time to communicate with patients is paramount for identifying candidates and to increase the level of compliance, which will reduce ensuing complications and increase the fitting success and patients’ overall satisfaction.
These are clinical indications to manage significant SL fitting challenges that clinicians may encounter daily. Hopefully, studies and advancements in technology will soon aid in reducing challenges with SLs.
For references, please visit www.clspectrum.com/references and click on document #303.