 
    A 19-year-old Caucasian female was previously seen by a pediatric ophthalmologist for her entire life, but was no longer able to, due to being over 18 years old. She had a history of a congenital cloudy cornea OS due to fetal alcohol syndrome. Previous surgical history revealed several unknown ocular surgeries from one month to 5 years old. Additionally, she had a history of several corneal transplants OS leading to a retinal detachment (RD) and glaucoma. To manage her retinal detachment and glaucoma, several more surgeries were completed including RD repair and a glaucoma stent.
Exam Findings
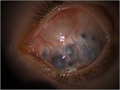
All testing for OD revealed normal findings with 20/20 uncorrected visual acuity. OS had no light perception with 4+ afferent pupillary defect (APD). Severe vascularized opacification was found on the OS cornea with multiple areas of elevation and uveal show. A tube shunt was observed superior nasally, but unable to assess patency. The intraocular pressure was 13 mmHg and 20 mmHg for OD and OS, respectively. Dilated fundus examination for OS was not able to be viewed. B-scan ultrasonography was performed and found vitreous degeneration with a grossly flat retina.
Figures 1 and 2 show the patient in primary and downgaze, respectively. Figures 3 and 4 demonstrate the corneal staphyloma using anterior segment optical coherence tomography. This patient was diagnosed with corneal staphyloma and minor scleromalacia secondary to surgical complications from fetal alcohol syndrome. She deferred enucleation and/or ocular prosthetic consult.
 
     
     
     
    Discussion
Fetal alcohol syndrome can cause several teratogens such as learning disabilities, dysmorphisms, growth retardation, and central nervous system deficiencies.1 Ocular findings may include one or more of the following: strabismus, coloboma, microphthalmia, blepharoptosis, hypertelorism, epicanthus, and shortened palpebral fissures.1 Treatment for corneal staphyloma is usually geared toward evisceration or enucleation.2 Penetrating corneal transplants may be successful in mild forms, but graft failure is high in more advanced cases.2 It is uncertain whether the corneal staphyloma occurred from surgical complications or congenital glaucoma in this patient. For patients who defer enucleation, an ocular prosthetic (scleral shell) may improve cosmesis. Soft ocular prosthetics may not fit appropriately due to the irregular curvature of the anterior segment.
Conclusion
Fetal alcohol syndrome can cause many developmental deformities including ocular involvement. Surgical interventional may resolve most minor ocular disease. However, repeated ocular surgeries increase the risk of complications including loss of vision or disfigurement.
References
- Abdelrahman A, Conn R. Eye abnormalities in fetal alcohol syndrome. Ulster Med J. 2009 Sep;78:164-165.
- Wan Y, Xiao G, Yu T, Zhang P, Hong J. Histopathological examination of congenital corneal staphyloma and prognosis after penetrating keratoplasty. Medicine (Baltimore). 2020 Oct 2;99:e21892.
 
  
            

