Scleral lenses are frequently used to protect the ocular surface. In this case, a patient with limbal stem cell deficiency (LSCD) benefits from the use of scleral lenses. When fitting a patient with LSCD in scleral lenses, complete limbal clearance is important to ensure the condition is not exacerbated by lens wear.
Case Description
A 29-year-old African-American female presented to the clinic for a cornea evaluation. Her chief complaints included poor vision with her soft toric contact lenses and significant dry eyes, leading to contact lens intolerance.
Visual acuity was 20/30 OD and 20/50 OS with her soft lenses. Slit lamp examination was remarkable for superior corneal haze and fluorescein stained in a linear ‘waterfall’ pattern on both eyes. Superficial punctate keratitis (SPK) was also noted scattered across the corneal surface bilaterally. Based on her corneal presentation, she was diagnosed with limbal stem cell deficiency (LSCD).
Scleral lenses were recommended, in addition to punctal plugs and a topical immunomodulator. The Zenlens (Bausch + Lomb) scleral design was selected for the diagnostic evaluation. The initial diagnostic lenses were difficult to assess due to significant high-low movement that allowed bubbles to pump into her post-lens tear reservoir. Even with significant toricity added to the landing curves, the lens remained in a low position with movement on blink. Bearing on the superior limbus was also observed.
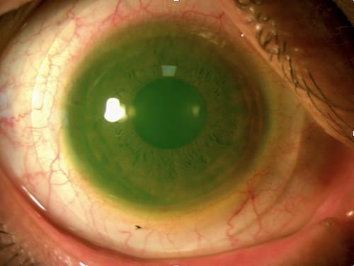
Using sodium fluorescein (NaFl) in the bowl of the lens highlighted the lack of alignment between the peripheral curves and the scleral surface, from the limbal area to the edge of the lens (Figure 1). It was evident that this patient has a toric limbal shape, as well as a toric sclera. The key to this lens fit was to address the toricity of the ocular shape both over the limbus, within the vaulting chamber, and in the sclera with the landing curves. The Bi-Elevation feature of this design adds toricity within the chamber over the limbal area, complementing toric peripheral curves to fine tune the scleral alignment.
With Bi-Elevation added to the lens design, 450 microns of sagittal depth difference was created between the shallow and deep meridians of the vaulting chamber to obtain an even lens landing 360 degrees around the limbus. No lens movement was observed, and the lens was well centered. With adequate lens centration, quadrant-specific landing curves and a Microvault were utilized to align to the scleral surface throughout the entire landing curve system (Figure 2).
Discussion
A study revealed that toric scleral shapes often also have a toric limbal shape (Jedlicka, Gee, 2020).1 To achieve an acceptable fit of a scleral lens, the addition of toricity within the vaulting chamber of the lens addresses limbal toricity directly rather than compensating for it at the edge of the lens with toric peripheral curves. Steepening or flattening peripheral curves only adjusts the very edge of the lens, rather than the entire peripheral curve system, and misalignment over the limbus would persist, leading to complications like chamber fogging, conjunctival prolapse.
Conclusion
Many scleral lens fitting hurdles are related to poor alignment to the ocular surface. With the addition of Bi-Elevation to the Zenlens toolbox, lens centration can be achieved.
Brooke Messer, OD, is an optometrist with Vance Thompson Vision in West Fargo, ND, and a Fellow of the American Academy of Optometry and the Scleral Lens Education Society. She is a consultant for Bausch + Lomb Specialty Vision Products.
REFERENCES
1. Jedlicka J, Gee S. Meridional Differences in Sagittal Height at 12 mm and 16 mm chords. Poster presented at the Global Specialty Lens Symposium. Las Vegas, Nev. 2020.


