This is a case of a specialty contact lens being fit meticulously to help improve vision after trauma to the eye.
Case Description
A 46-year-old male presented to the clinic following a black powder explosion at home. The result of the explosion resulted in numerous metallic fragments embedded through the cornea and iris of each eye (Figure 1 a-b). Following careful monitoring for further inflammatory events by a tertiary referral center, the patient was referred for a specialty contact lens fit to see if his vision could be further improved. His chief complaint centered around debilitating glare and halos that worsen with night driving.
Discussion
Entering visual acuities through the patient’s habitual spectacles showed 20/30- OD and 20/20- OS. Manifest refraction revealed the following: -1.25 -3.75 x 030, 20/30- OD, and -1.00 -0.50 x 100, 20/20- OS.
Keratometry values were recorded as 43.50/45.37 OD and 43.50/44.00 OS. Pupils were measured as 4.5mm in dim light and 3.0mm in bright light. Corneal diameter was measured as 11.75mm in each eye.
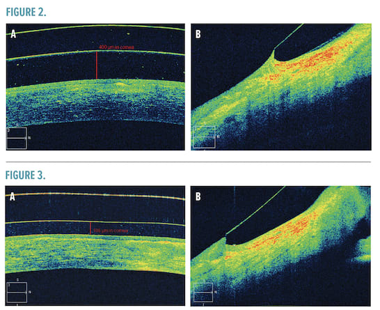
After placing an initial trial lens—SynergEyes VS (CooperVision Specialty EyeCare—SynergEyes)-—on the right eye, an OCT image was obtained, showing excessive central clearance as well as a slightly tight fitting relationship 360 degrees (Figure 2a-b). As the initial lens has a sagittal depth of 3600 microns and peripheral curves of 36/42, it was determined that the initial lens ordered would be 3400 microns in depth and have peripheral curve values of 34/40. An over-refraction over the trial lens revealed a final endpoint of +1.75 -1.50 x 170. Evaluation of the trial lens revealed the flat axis had rotated to 130 degrees.
The fitting guide dictates that one should take the over-refraction axis minus the flat axis of the trial lens. If this is a positive number (as in this example), one orders that axis. If the result is a negative number, one must then take 180 minus the negative number to arrive at the correct axis.
Another OCT image was obtained upon dispensing of the lens (Figure 3a-b). Central clearance after 20 minutes of settling revealed a clearance of 188 microns. The relationship of the peripheral curves to the globe were much improved. Visual acuity of the right eye was 20/20 with no over-refraction. Upon completion of training with staff regarding proper insertion, removal, and lens care, the patient was released for follow-up care. Several years later, the patient continues to report improvement in subjective symptoms and overall vision.
Conclusion
This lens allows for a straightforward management of a complex ocular presentation. Its reliability allows for empirical fittings that decrease chair time, improve outcomes, and provide for a superior patient experience.
Ryan McKinnis, OD, is the owner of Infinity Eye Care, a two-location practice in Northeast Ohio. He is a fellow in the American Academy of Optometry and a diplomate in the section on cornea, contact lens and refractive technology. He serves as a KOL for CooperVision Specialty EyeCare.


